|

Sonda Florida
Irene Bermejo Camacho
-Técnico Superior en Higiene Bucodental. Col. 280.461
-Auxiliar de Enfermería.
|

|
INTRODUCCION.
Este artículo intenta explicar las ventajas de la sonda florida así como su manejo para obtener un buen resultado, que nos conduzca a una correcta evaluación y posterior tratamiento del paciente periodontal.
Sabemos a través de estudios y tratamientos realizados que demuestran eficacia en el control de la enfermedad periodontal y logran una óptima mejoría en nuestros pacientes a lo largo del tiempo.
Nunca está de más recordar que tanto el paciente, como el profesional, deben realizar un trabajo conjunto para conseguir el mejor estado posible de salud bucodental.
En la práctica actual, las sondas periodontales son principalmente utilizadas para evaluar:
- a) Profundidad de sondaje o distancia del margen gingival a la base de la bolsa periodontal.
- b) Pérdida de inserción clínica o distancia desde la unión cemento esmalte al fondo del bolsa periodontal.
- c) Evaluar la respuesta hemorrágica a la presión física.
- d) Determinar la presencia de placa bacteriana o cálculos entre otras funciones.

¿Qué es la sonda florida?
Es la última tecnología aplicada al diagnóstico y seguimiento del tratamiento periodontal.
Es un instrumento de sondaje que incorpora una fuerza constante, una mayor precisión en la medición (resolución de 0,1mm.) y un registro electrónico de los datos entre otras ventajas.
|

|
Características
La sonda florida ayuda a incrementar el rendimiento de la clínica, tanto por su fiabilidad como por su fácil manejo, pudiendo realizar una correcta evaluación del estado periodontal del paciente estudios y posteriores controles periodontales de igual modo tanto por parte del el periodoncista como el higienista dental.
Transmite una mayor fiabilidad de datos de modo que, si durante una visita de revisión o mantenimiento de un paciente periodontal se aprecia empeoramiento en alguna zona, podrá realizarse un nuevo sondaje y comparar así con datos previos de la historia del paciente, valorando en ese momento la necesidad, o no, de un nuevo tratamiento.
Además nos permite la presentación audiovisual de los resultados de dicha exploración, facilitando así la información al paciente, de forma más sencilla de comprender, y ayudándole a entender las causas y el tratamiento necesario para su mejor salud bucodental.
La sonda florida permite la realización de medidas de profundidad de bolsas y recesiones, en la misma actuación o bien, podemos hacerlo de forma independiente. Igualmente, mediante el pedal de control, es posible registrar en la ficha periodontal del paciente los siguientes parámetros:
- Profundidad de bolsa
- Hiperplasia
- Sangrado
- Supuración
- Localización de Placa
- Grado y localización Movilidad
- Grado y localización de las furcas
- Adhesión gingival
- Dientes ausentes
- Dientes impactados
- Implantes
- Coronas
Partes de la sonda florida

La sonda florida consta de 3 partes principales:
- Fig. A: Una sonda electrónica, con una mayor precisión y fácil manejo.
- Fig. B: El pedal con el podremos marcar; hiperplasia, sangrado y/o supurado al sondaje, grado y localización de movilidad, grado y localización de furcación y localización de placa,consta de varios botones; parte central para confirmación, (A) roja marcación cuando hay sangrado, (B) amarilla marca distintas opciones y (C) la bolita negra en la parte superior central para borrar.
- Fig. C: Panel de control para introducción de datos que también se puede sustituir por un teclado y ratón.

|
Se comenzará revisando la anamnesis y el odontograma del paciente:
(Imag. A)
|
|
¿Qué es la sonda florida?
Es la última tecnología aplicada al diagnóstico y seguimiento del tratamiento periodontal.
Es un instrumento de sondaje que incorpora una fuerza constante, una mayor precisión en la medición (resolución de 0,1mm.) y un registro electrónico de los datos entre otras ventajas.
|
La sonda florida, fácil de manejar y de poco peso, va conectada mediante un cable al ordenador para que los datos se graben automáticamente con cada medición.
Hay que sujetarla con suavidad, sin fuerza, pero con firmeza para que haga una precisa lectura de las bolsas ya que de otro modo, nos dará error de lectura.
Pasos a seguir para un correcto manejo de la sonda florida.
Para rellenar el periodontograma, lo podremos hacer por medio del pedal, el cual permite aceptar, borrar y utilizar el programa sin necesidad de tener el teclado o el ratón del ordenador cerca. (Ver fig. B.)

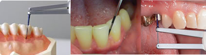
1º paso: La sonda debe insertarse suavemente, paralela al eje vertical del diente, excepto para las caras distales de la última pieza dentaria o dientes en áreas desdentadas, de modo que una mayor o menor angulación puede determinar diferente profundidad de la bolsa periodontal.
2º paso: Hacer una ligera presión sobre la sonda y el dispositivo de la sonda se irá separando hasta llegar al tope que será el contacto con el hueso.
3º paso: Deberemos pisar la parte media del pedal para que se quede registrada nuestra medición de bolsa en la ficha del paciente. Marcando también si hay sangrado o cualquier secreción (Rojo A: sangrado. Amarillo B: secreción. Bolita negra del centro C: para borrar. Fig. B).
Se realiza el sondaje en todas las piezas dentales para completar el periodontograma, y poder evaluar el estado periodontal del paciente.
Una vez terminado el sondaje completo podremos visualizar junto al paciente el periodontograma pudiéndole explicar cuál es el estado actual de su boca y qué tratamientos serían necesarios para mejorar
su salud periodontal.

Los folletos impresos post examen refuerzan el interés del paciente, ayudándole a saber qué zonas se encuentran en peor estado con objeto de hacer mayor hincapié en ellas y de esta forma conseguir su mejoría.
Resultado.
La sonda proporciona una mayor precisión, lo que garantiza que los resultados son siempre exactos, siempre y cuando no haya factores externos tales como cambio de operador o diferente fuerza ejercida.
El fácil manejo permiten que el sondaje sea llevado a cabo por el personal cualificado de la clínica (periodoncista / higienista dental), con el consiguiente ahorro de tiempo e incremento de productividad que esto supone.
Los periodontogramas se hacen con dos colores: Rojo para bolsas mayores de 4 mm y Negro o Azul para bolsas menores de 4 mm. De esta forma todo se refleja digitalmente siendo mas fácil la realización, modificación o incluso la presentación del periodontograma al paciente.
La explicación al paciente de su estado periodontal es más gráfica por lo que le resulta más fácil de entender tanto su problema como el futuro tratamiento y mantenimiento a realizar.
El artículo está realizado desde mi experiencia profesional y apoyado en la información gráfica obtenida en internet.
Por ello, doy las gracias a todos aquellos profesionales y empresas relacionadas con el sector que cuelgan en la red información sobre productos y novedades, en este caso la sonda florida, haciendo posible la realización de estudios y trabajos como el actual.
Links de consulta:
http://www.upch.edu.pe/faest/publica/2010/vol20_n3/vol20_n3_10_art1.pdf (articulo)
http://www.servidiagnostic.unal.edu.co/p_protocolofp32.php (video sonda fl.)
http://florida-probe.com/go-probe.php (pág. explicación florida)
http://www.ueda.es/florida.swf
http://www.biofotonica.cl/productos/florida_probe/index.php
http://www.nexoinc.com/sonda-peridontal-digital.php
|
|
|
|