|
Protocolo de motivación del paciente periodontal en tres pasos
AUTORES
• Javier Lozano Zafra. Coordinador del Curso de Experto Universitario en Gestión de Servicios Sanitarios Odontológicos. Universidad de Sevilla.
• Antonio Castaño Séiquer. Profesor Titular de Odontología Preventiva y Comunitaria. Universidad de Sevilla.
• David Ribas Pérez. Profesor Asociado de Odontopediatría. Universidad de Sevilla.
• Luis El Khoury Moreno. Profesor Asociado de Odontología Preventiva y Comunitaria. Universidad de Sevilla.
• Julio Torrejón Martínez. Profesor Asociado de Odontología Preventiva y Comunitaria. Universidad de Sevilla.
• Laura San Martín Galindo. Personal Docente Investigador. Odontología Preventiva y Comunitaria. Universidad de Sevilla.
CORRESPONDENCIA
Javier Lozano Zafra. javier@velezylozano.com
INTRODUCCIÓN
La creciente prevalencia de la enfermedad periodontal en adultos a nivel internacional, así como el establecimiento de relaciones estadísticamente significativas con enfermedades sistémicas como las patologías cardiovasculares1 hacen que el papel del higienista bucodental sea cada vez más importante dentro de la clínica dental, en la medida en que el abordaje de la misma forma parte de su catálogo de competencias.
En relación a esto, es preciso recordar que los higienistas dentales, al igual que el grueso del resto de profesionales sanitarios, han asistido a un importante cambio en las relaciones con sus pacientes en los últimos años, resultando en un nuevo marco en el que precisan desarrollar un elevado grado de ‘empatía’ con el paciente para conseguir un tratamiento exitoso basado en un buen ejercicio clínico y en un mantenimiento de la salud diaria del paciente.
Para esto, el higienista dental debe situarse en una posición de pensamiento próxima a la de cada uno de sus pacientes2 , ayudándole a poner en marcha las medidas de salud oral más apropiadas para sus necesidades particulares3 , lo que, según describe la literatura, esademás una excelente técnica para mejorar la aceptación del plan de tratamiento propuesto4 , con el indudable beneficio que esto conlleva para toda clínica dental.
Antes de insistir a un paciente en la importancia de una adecuada higiene bucodental, de la necesidad de abandonar el hábito tabáquico, o de la pertinencia de las revisiones profesionales que requiera, debemos entender y valorar previamente los conceptos básicos de la motivación y las necesidades humanas, para lo cual podemos acudir a la clásica pirámide de Maslow (Fig. 1).

Figura 1. Adaptación de la pirámide clásica de Maslow de jerarquía de necesidades humanas. En la base se encontrarían las necesidades primarias o básicas, seguidas de las necesidades de seguridad, relaciones personales, cognitivas, estéticas y, en el vértice, la importancia del desarrollo y
realización individual.
A partir de esto, un paciente sin sus necesidades primarias cubiertas (sin casa, sin trabajo o con otras carencias) que acuda a la clínica dental por un dolor agudo seguramente hará poco por modificar sus hábitos de higiene bucodental, al menos mientras no pueda avanzar hacia un escalón superior, el quinto, de necesidades cognitivas, en el que generalmente se enmarcarían los tratamientos bucodentales.
En cualquier caso, y partiendo de la premisa de que el paciente que acuda a la clínica dental tiene sus necesidades primarias cubiertas y está dispuesto a esforzarse por mejorar su salud oral, consideramos que el éxito en la motivación a partir de este punto está basado en la necesidad de la comprensión de las necesidades de éste para determinar qué incentivos debemos ofrecer a cada uno de ellos y lograr que éste busque la mejoría diaria en su salud bucodental, a partir del protocolo planteado en este texto.
Paso 1: comprensión de la enfermedad periodontal
Uno de los errores más frecuentes en los consejos ofrecidos por los profesionales sanitarios es el establecimiento de metas a largo plazo, del tipo “si no se cepilla los dientes, le saldrán caries” o “tiene que hacer ejercicio para evitar un infarto”, lo que provoca que los pacientes no aprecien un riesgo a corto plazo y, con relativa frecuencia, no sigan las advertencias ofrecidas por el profesional.
Sirva como ejemplo el hecho de que los pacientes con enfermedades crónicas no toman su medicación correctamente, aún a pesar de los riesgos potenciales que corren por ello5 , algo que bien podemos trasladar a las prescripciones y las indicaciones que se ofrecen en una clínica dental, en múltiples ocasiones abocadas al fracaso por no conseguir captar la atención del paciente en torno a patologías dentales especialmente necesitadas de la misma, como la periodontitis6.
Por esto, y por el gran impacto que tiene sobre la salud oral del paciente que éste siga las instrucciones facilitadas por los profesionales dentales7 , es importante desarrollar un modelo educativo-motivacional como el que proponemos:
- Valoración de la placa presente en las superficies dentarias y estimación del porcentaje de superficies que precisan higiene profesional, para compararlo con porcentajes en próximas visitas, para lo que además resulta particularmente útil la toma de registros fotográficos (Figs. 2 y 3).

Figura 2. Valoración de placa en un paciente que acude a consulta con un estado deficiente de higiene bucodental, antes de la intervención del higienista bucodental.

Figura 3. Fotografía un mes después de la intervención del higienista bucodental mostrando técnicas de higiene concretas y motivando al paciente con metas a corto plazo.
- Medición de la inserción y recesiones de todas las piezas dentarias presentes en boca, plasmando los resultados en un periodontograma (Fig. 4) visible que, en próximas visitas, permitirá que el paciente valore su evolución.

Figura 4. Periodontograma personalizado. La mayoría de programas de gestión de clínicas dentales en la actualidad disponen de herramientas de este tipo que permiten hacer comprender al paciente la situación de sus dientes a nivel periodontal y valorar la evolución de éstos de forma visual y atractiva.
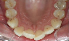
- Toma de registros fotográficos intraorales (Fig. 5)para valorar el estado de lesiones cariosas detenidas, y su evolución a lo largo del tiempo.

Figura 5. Fotografía intraoral que comparar a lo largo de las visitas del paciente para poder comprender la relación entre una higiene adecuada y la no progresión de la patología cariosa.
En este sentido, son numerosas las aplicaciones que pueden dársele:
- Fotografías intraorales (con una cámara adaptada) para mostrar procesos periodontales, retracciones gingivales, o incluso restauraciones fracturadas, filtradas o desbordantes.
- Fotografías extraorales para facilitar la visualización del ‘antes y después’ de un caso, particularmente útiles en el frente anterior, en caso de pacientes periodontales con compromiso estético.
Con todo ello, mediante un soporte gráfico multimedia conseguiremos transmitir al paciente de la manera más sencilla posible:
- La etiopatogenia de la periodontitis y su afección a los tejidos de soporte dentario.
- La irreversibilidad de los efectos de la patología periodontal sobre los dientes y otros tejidos periorales.
- La importancia de una correcta higiene bucodental diaria para el control de la enfermedad periodontal.
- La complejidad de los tratamientos rehabilitadores y la necesidad de mantener sus propias piezas dentarias en boca.
Paso 2: instrucciones de higiene diaria
Una vez logrado el objetivo del primer paso, y habiendo obtenido la atención y la voluntad del paciente que le proporcionan un nivel adecuado de comprensión de su situación y de la importancia de mantener un adecuado grado de higiene oral, es el momento de pasar a impartir las instrucciones de higiene adecuadas al paciente.
Uno de los métodos más empleados, por su sencillez, agilidad y coste reducido, son los fantomas dentales (Figura 6), con los cuales podemos enseñar al paciente las técnicas de cepillado más idóneas en función de sus necesidades.

Figura 6. El fantoma dental es un elemento imprescindible para la instrucción en técnicas de higiene con cepillado manual, eléctrico, interproximal o para el uso de hilo o seda dental, en función de las necesidades de cada paciente.
También es frecuente, además de sencillo y bastante accesible, el uso de libros con gráficos que expliquen las diferentes técnicas de cepillado existentes, así como atlas profesionales donde, de forma somera y gráfica, podamos mostrar al paciente situaciones genéricas similares a un caso como el suyo.
Igualmente, resulta particularmente útil el empleo de fotografías o radiografías de otros pacientes en distintos estadíos de la enfermedad periodontal utilizando cepillos de dientes, hilo dental o cepillos interproximales, las cuales deberían encontrarse en fichas de papel o en una carpeta específica del ordenador que se disponga en la sala donde se informe de estas tareas al paciente para impartir las nociones de cepillado e higiene de la manera más ágil posible.
Junto a esto, el desarrollo de numerosos productos específicos de educación al paciente en los últimos años, nos ofrece la posibilidad de reforzar mediante elementos audiovisuales y nuevas tecnologías las instrucciones facilitadas al paciente con métodos tradicionales.
Uno de los exponentes de este hecho es el desarrollo de programas de educación al paciente basados en vídeo, como Dolphin©, Caesy© a nivel internacional o Didactic© y Carmen Dental© a nivel local.

Figura 7. Imágenes (Todos los derechos reservados) de Dolphin©, un softare de educación dental que, en este caso, muestra la importancia del mantenimiento de la salud gingival en un paciente portador de aparatología fija de ortodoncia.
Además, fundamentalmente a partir de estos mismos programas, pero también de forma independiente, cada vez es más frecuente encontrar vídeos informativos sobre la importancia de la salud bucodental, incluyendo descripciones de los procesos odontológicos más frecuentes, su tratamiento, y las posibilidades de los clínicos conforme a la tecnología actual.
En este sentido, cabe destacar también el esfuerzo realizado en este sentido por instituciones colegiales, asociaciones y sociedades científicas en los últimos años para proveer a los profesionales de este tipo de tecnología, cuyas ventajas y prestaciones son extensas:
- Posibilita el envío de los mismos a los pacientes a través del correo electrónico, de forma que los pueden visualizar en su domicilio o teléfono inteligente.
- Facilita una actualización ágil y económica de la información facilitada a los pacientes.
- Permite transmitir todos estos conocimientos incluso a través de redes sociales (Facebook, Twitter…), ampliando la población que se ve beneficiada por este tipo de recursos multimedia y difundiendo la educación dental más allá de los límites de la clínica dental.
Sin embargo, esta libertad en el desarrollo y el posterior acceso a las aplicaciones por parte de la población puede suponer en algunos casos un peligro ya descrito previamente en la literatura8 , en tanto que estas aplicaciones podrían contener información errónea o sesgada, a lo que se sumaría la limitación del paciente para realizar un correcto diagnóstico diferencial entre las diferentes patologías que se pueden presentar en la cavidad oral, por lo que será conveniente establecer mecanismos de control y seguridad en las mismas en el futuro, siendo importante mientras tanto aconsejar a los pacientes sobre las aplicaciones más fiables y contrastadas.
Paso 3: control, control, control
Finalmente, una vez superados los pasos uno y dos, el tercero consistirá en revisar con el paciente los conocimientos adquiridos, tanto en lo que respecta a la comprensión de la enfermedad periodontal, como a la destreza y los hábitos adquiridos en la higiene diaria.
Para ello, es preciso establecer un calendario de citas de revisión hasta asegurarnos de que el paciente es capaz de mantener su higiene por sí mismo, siempre a corto plazo (evitando una ‘revisión anual’ típica de pacientes de odontología general), en uno, tres o seis meses, a juicio del profesional.
En estas revisiones se realizarán controles de placa, sondajes y las mediciones establecidas en el paso 1 para que el paciente pueda valorar apropiadamente la evolución en el tiempo, si es necesario mejorar la higiene en algún punto, o si tiene alguna duda, siendo de especial utilidad el control por imágenes (Figuras 2 y 3).
Junto a esto, la reciente proliferación de teléfonos inteligentes (del inglés, ‘smartphone’) con conexión a Internet por banda ancha ha supuesto el desarrollo de una nueva serie de programas, popularmente conocidos como ‘Apps’, que ya incluyen numerosas aplicaciones enfocadas a la educación odontológica.
Es recomendable y muy práctico para el profesional dental la utilización de aplicaciones de este tipo para mantener al paciente implicado en el proceso de aprendizaje, gracias a las funcionalidades que podemos encontrar en ellas:
- Explicaciones de profesos odontológicos y su tratamiento (Figura 8).
- Preguntas y respuestas más frecuentes.
- Temporizadores para el cepillado dental, e instrucciones para desarrollar una técnica efectiva.
- Presentación de posibilidades clínicas a partir de una fotografía del paciente.
- Vídeos interactivos y gráficos con las situaciones más frecuentes.
- Exposición de casos ‘antes y después’ del tratamiento (Figura 9).

Figuras 8 y 9. Capturas de pantalla de programas de educación dental disponibles en la App Store de la compañía Apple y la Play Store de Google/Android.
Sin embargo, al igual que indicábamos en lo que respecta a los vídeos, es conveniente que el higienista bucodental conozca y seleccione las aplicaciones disponibles en función de criterios de evidencia científica o de facilidad de uso por parte del paciente de tal forma que sea éste el que lo guíe en la información suministrada entre las citas.
Con ello, el proceso iniciado en la clínica y controlado por el profesional dental se extiende al domicilio del paciente, consiguiendo maximizar los esfuerzos desarrollados en clínica y demostrando al paciente nuestra implicación no sólo con sus tratamientos odontológicos, sino también con la estabilidad de su salud bucodental y el pronóstico de sus dientes y encías.
Además, al encontrar una ‘opinión externa’ a la del profesional, el paciente tendrá un nuevo refuerzo de toda la información proporcionada y será más dado a aceptar la terapia periodontal propuesta, algo particularmente importante en aquellos pacientes que tradicionalmente lo rechazaban por considerar ‘suficiente’ tratamiento una tartrectomía convencional, circunstancia que no es admisible desde un punto de vista clínico.
Conclusiones
La higiene dental rutinaria diaria del paciente es, cada día más, un elemento que garantiza el éxito de la intervención del higienista dental y todo el equipo odontológico, tanto en periodoncia como en tratamientos rehabilitadores9 , implantológicos10 u ortodóncicos11 , así como la satisfacción del paciente con el mismo y su fidelización a la clínica dental.
Por esto es necesario inculcar al paciente hábitos de higiene adecuados a sus necesidades que, en aquellos que presenten patología periodontal, debería incluir: fotografías, valoraciones de placa e inserción gingival, vídeos y otros procedimientos clásicos como enseñanza de técnicas de higiene con fantomas o tipodontos.
Y es que el empleo de un protocolo de trabajo sistematizado para procedimientos clínicos ha demostrado su validez a lo largo de toda la historia de la medicina, siendo necesario desarrollar por tanto secuencias de actuación también en aspectos como la educación y motivación del paciente para obtener los mejores resultados posibles.
Por todo ello, la implementación de un protocolo como el propuesto en este artículo evita situaciones indeseables derivadas de las limitaciones de tiempo que con frecuencia obligan al higienista bucodental a tratar estos temas con demasiada rapidez, lo que dificulta la comprensión de todo el proceso por parte del paciente y reduce su compromiso.
El papel del higienista dental es fundamental en el desarrollo de esta tarea dentro del esquema de trabajo de una clínica dental, por lo que deben dedicar nuevos esfuerzos y tiempo a esta tarea para afrontar con éxito su trabajo diario de motivación y educación para la salud y las relaciones con sus pacientes.
BIBLIOGRAFÍA
(1)Azarpazhooh A, Tenenbaum HC. J Can Dent Assoc. Separating fact from fiction: use of high-level evidence from research syntheses to identify diseases and disorders associated with periodontal disease. 2012;78:c25.
(2)Lief HI, Fox RC. Training for “detachedconcern” in medical students. In: Lief HI, Lief VF, Lief NR, eds. Thepsychologicalbasis of medicalpractice. New York: Harper and Row, 1963.
(3)Nash DA. Ethics, empathy, and theeducation of dentists. J DentEduc. 2010 Jun;74(6):567-78.
(4)Yevlahova D, Satur J. Modelsfor individual oral healthpromotion and theireffectiveness: a systematicreview.AustDent J. 2009 Sep;54(3):190-7.
(5)RPSGB and MSD (1997). Fromcompliancetoconcordance. Achievingsharedgoals in medicine taking. London.
(6)Chapple ILC, Hill K. Gettingthemessageacrossto periodontitis patients: the role of personalisedbiofeedback. IntDent J 2008: 58; 294–306.
(7) Stewart JE, Wolfe GR. Theretention of newly-acquiredbrushing and flossingskills. J ClinPeriodontol 1989; 16: 331–332.
(8)Hainer MI, Tsai N, Komura ST, Chiu CL. Fatal hepatorenalfailureassociatedwithhydrazine sulfate. Ann InternMed 2000; 133:877-80.
(9)Cagna DR, Massad JJ, Daher T. Use of a powered toothbrush for hygiene of edentulous implant-supported prostheses.CompendContinEduc Dent. 2011 May;32(4):84-8.
(10)Tawse-Smith A, Duncan WJ, Payne AG, Thomson WM, Wennström JL. J ClinPeriodontol. 2002 Apr;29(4):275-80. Relative effectiveness of powered and manual toothbrushes in elderly patients with implant-supported mandibular overdentures.
(11)Clerehugh V, Williams P, Shaw WC, Worthington HV, Warren P. J Dent. 1998 Nov;26(8):633-9. A practice-based randomised controlled trial of the efficacy of an electric and a manual toothbrush on gingival health in patients with fixed orthodontic appliances.
|
|
|
|