|
INTRODUCCIÓN
La
estética es, hoy en día, una parte importante de las relaciones
sociales y profesionales. Vivimos en una sociedad cada vez más obsesionada
con la apariencia estética. La cara es la primera parte del cuerpo que
se ve cuando nos relacionamos; por tanto, la expresión facial es el aspecto
más importante en la estética ya que cualquier defecto puede provocar
el rechazo del observador o incluso, en muchas ocasiones, inseguridad o complejos
en la persona que lo posee. Este es el motivo por el que debemos ofrecerles
a nuestros pacientes las nuevas técnicas estéticas que año
tras año se vienen desarrollando1,2. Los sistemas restauradores cerámicos
sin núcleo metálico ofrecen buenos resultados estéticos,
especialmente en los grupos anteriores, pero a base, en muchos casos, de eliminar
mucho tejido dentario. El progreso de los composites, así como la evolución
de las cerámicas, es un fiel exponente de las demandas de la población.
De esta forma, las carillas de porcelana se han ido abriendo camino entre las
diferentes técnicas reconstructivas de la sonrisa3.
Palabras
clave: carillas de porcelana, restauración, prótesis
adhesivas, ácido fluorhídrico.
JUSTIFICACIÓN
El
objetivo de este artículo es presentar las carillas de porcelana como
una de las técnicas reconstructivas adhesivas que proporcionan una estética
dental excelente con una mínima alteración del tejido dentario.
MÉTODO
Y RESULTADOS
Llevamos
a cabo la presentación de varios casos clínicos en los que se
utilizaron carillas de porcelana. Agrupamos dichos casos según la indicación
de las carillas de porcelana a la que respondían y mostramos el resultado
final del tratamiento.
Podemos definir las carillas de porcelana como láminas relativamente
finas de cerámica que se adhieren a la superficie vestibular de los dientes
anteriores con resina compuesta y cuya única finalidad es la estética.
Hoy en día se considera una de las técnicas de reconstrucción
indirecta con resultados más favorables, tanto por su duración
como por su aspecto estético. Presentamos a continuación algunas
de sus indicaciones.
 |
 |
| Foto 1A.- Vista oclusal de carillas de 14 a 24 en modelo maestro. |
Foto 1B.- Vista frontal de carillas de 14 a 24 en modelo maestro. |
Tinciones
dentarias
Las
variaciones del color dental pueden ser extrínsecas (debido al acúmulo
de sustancias cromógenas en la superficie de los dientes) o intrínsecas
(producidas por la incorporación de materias cromógenas en el
interior del esmalte o la dentina antes o después de la erupción).
Presentamos algunos casos de tinciones intrínsecas, así como el
tratamiento más adecuado para cada uno de ellos.
Pueden
clasificarse en:
a)
Tinciones producidas por tratamientos endodóncicos:
tratamientos endodóncicos en los que ha existido una
hemorragia interna que, con el tiempo, acaba pigmentando el
tejido dentario. En estos casos evitamos llevar a cabo tratamientos
protésicos y realizando un blanqueamiento interno, que
da muy buenos resultados4.
b)
Tinciones dentarias medicamentosas:
muy típicas en pacientes tratados durante su infancia
con tetraciclinas. Estos antibióticos fueron descubiertos
en 1948 y en 1956 se descubrió su efecto dañino
sobre los dientes5. Su administración
durante el embarazo y en los niños que no han acabado
la calcificación de la corona de los dientes definitivos,
aproximadamente hasta los ocho años, produce un color
amarillento durante la erupción que se transforma en
marrón por la exposición a la luz6.
 |
 |
| Fotos 2A y 2B.- Imágenes de la sonrisa de una paciente
cuyos dientes presentan una tinción por tetraciclinas. |
Estos
casos pueden tratarse directamente con composites o con carillas de porcelana7.
La elección de uno u otro dependerá de la habilidad del operador
y de la dificultad de la restauración, aunque en muchas ocasiones y,
debido a la aparición de diferentes opacificadores, las restauraciones
directas con composites son una alternativa terapéutica que permite
obtener resultados estéticos muy satisfactorios8.
 |
 |
 |
| Fotos
2C, 2D y 2E.- Resolución del caso con la colocación de carillas
de porcelana de premolar a premolar. |
En algunos casos, el uso combinado de técnicas ortodóncicas
con restauraciones indirectas cerámicas resolverá favorablemente
el caso a tratar9.
c)
Tinciones dentarias debidas a traumatismos:
en algunos traumatismos se puede producir una hemorragia interna
que ocasiona la descomposición de la hemoglobina, penetrando
pigmentos en el interior de los túbulos dentinarios y
provocando a lo largo del tiempo una tinción dentaria
importante. Clínicamente son dientes vitales y radiográficamente
no presentan ninguna patología periapical, con lo cual
está contraindicado un tratamiento endodóncico
inmediato. En estos casos el blanqueamiento interno es imposible,
siendo necesario colocar carillas de cerámica, composites
o coronas de recubrimiento total.
Diastemas
Los
diastemas, y en particular el diastema medio interincisivo, son uno de los hallazgos
más frecuentes en la práctica odontoestomatológica10 y
responden a diversas causas: maloclusión, discrepancias en el tamaño
dental o enfermedad periodontal.
 |
 |
| Foto 3A.- Diastema medio interincisivo. |
Foto 3B.- Corrección con carillas de porcelana. |
La
incidencia de los diastemas varía enormemente con la edad, la raza y
el grupo de edad, pero su prevalencia está asociada a un factor importante
de maloclusión. En los niños en proceso de desarrollo, los diastemas
de la línea media maxilar son normales. Sin embargo, en los adultos están
asociados a la discrepancia en el tamaño de los dientes y a una excesiva
superposición vertical de los incisivos. También puede originarse
por la angulación mesio-distal o labio-lingual de los incisivos, los
frenillos y procesos patológicos. La rehabilitación de casos de
diastemas mediante carillas de porcelana en grupos anterosuperiores se considera
una solución muy conservadora11, siempre y cuando el tratamiento ortodóncico
no sea el indicado o el paciente no lo acepte.
 |
 |
| Foto 3C.- Vista frontal de carillas de 12 a 22 en modelo maestro. |
Foto 3D.- Vista oclusal de carillas de 12 a 22 en modelo maestro. |
 |
 |
| Foto 3E.- Sonrisa que muestra el diastema medio interincisivo. |
Foto 3F.- Sonrisa que muestra la corrección de dicho diastema con carillas
de porcelana. |
Otra
causa de diastemas es la discrepancia del tamaño de los dientes en relación
a las arcadas de los maxilares. La situación más frecuente es
aquella en la que los incisivos centrales superiores adoptan una forma reducida
en incisal y los laterales presentan una forma cónica, permitiendo la
distalización de los incisivos centrales y provocando un diastema medial
maxilar. Este problema se corregirá tan sólo con soluciones protésicas
no ortodóncicas.
Existen otras causas de diastemas como la excesiva superposición vertical
anterior, de cuya corrección se hace cargo el ortodoncista y que tan
sólo se corregirá mediante prótesis cuando el paciente
no acepte la ortodoncia como medio correctivo.
Existen
otras causas de diastemas como la excesiva superposición vertical anterior,
de cuya corrección se hace cargo el ortodoncista y que tan sólo
se corregirá mediante prótesis cuando el paciente no acepte la
ortodoncia como medio correctivo.
 |
 |
| Foto
3G.- Diastema lateral derecho. |
Foto 3H.- Tallado de 11 y 12. |
 |
|
Foto 3I.- Carillas en 11 y 12.
|
 |
 |
| Foto 3J.- Diastema lateral izquierdo. |
Foto 3K.- Tallado de 21 y 22. |
 |
|
Foto 3L.- Carillas en 21 y 22.
|
También
los pacientes que padecen algún hábito, como la interposición
lingual asociada a enfermedad periodontal, pueden presentar diastemas. Estos
pacientes muestran pérdida ósea generalizada con un notable aumento
de su corona clínica. Ello determina un brazo de palanca excesivo, lo
que provoca, en movimientos excéntricos (lateralidad y protrusión),
una considerable movilidad produciendo la migración de los grupos anterosuperiores.
Para su rehabilitación, realizamos primero el tratamiento periodontal
oportuno para, más tarde, cuando el periodonto y la mucosa oral se encuentren
en perfecto estado de salud, colocar carillas de porcelana en el maxilar superior
e implantes osteointegrados en el inferior.
Como parte fundamental para el mantenimiento a largo plazo de estos casos, es
necesaria la utilización de una férula o retenedor nocturno ya
que la recuperación de estas alteraciones funcionales, especialmente
en pacientes adultos, resulta imposible.
Dientes
conoides
Los
dientes conoides suelen afectar a los incisivos laterales superiores y pueden
ser unilaterales o bilaterales. Esta situación es muy favorable para
las carillas de cerámica ya que la preparación es prácticamente
nula y la agresión al tejido dentario mínima, por lo que se considera
una muy buena solución terapéutica que armoniza el tamaño
dentario y estabiliza la oclusión12.
 |
 |
| Foto 4A.- Dientes 12 y 22 conoides. Vista frontal |
Foto 4B.- Carillas de porcelana en 11, 12, 21 y 22. Vista Frontal. |
En
este tipo de malformación dentaria, las carillas de porcelana han de
ser muy amplias para cerrar los espacios interproximales.
 |
 |
| Foto
4C.- Dientes 12 y 22 conoides. Vista oclusal. |
Foto 4D.- Carillas de porcelana en 11, 12, 21 y 22. Vista oclusal. |
De
esta forma, en muchos casos vienen a tener la forma casi de una corona de recubrimiento
total con una terminación cervical en filo de cuchillo.
 |
 |
 |
 |
| Fotos
4E, 4F, 4G y 4H.- Dientes 12 y 22 conoides antes y después de su tratamiento
con dos carillas de porcelana. Se colocaron también carillas en los dos
incisivos centrales. |
 |
 |
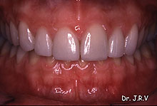
| Foto 4I.- Sonrisa antes del tratamiento. |
Foto 4J.- Sonrisa después de cementar las cuatro carillas de porcelana. |
También es frecuente la asociación de un diente lateral conoide
con la agenesia del contralateral. En estos casos colocaremos en los dientes
conoides una carilla de cerámica y en las agenesias de laterales un implante
osteointegrado y una corona unitaria.
Dientes
deciduos
El
caso más frecuente son los caninos superiores temporales, cuyos permanentes
han permanecido incluidos en el paladar debido a su malposición o erupción
ectópica.
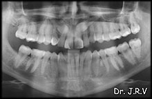
 |
| Foto 5A.- Rx Panorámica en la que se observan los caninos superiores permanentes
incluidos. |
Los dientes deciduos provocan una desarmonía en la estética general
debido a que son más pequeños y presentan un color diferente al
de los dientes adyacentes definitivos. La carilla de porcelana colocada en un
canino superior deciduo permite recontornear incisal e interproximalmente el
diente, preservando la estructura dentaria y salvaguardando la vitalidad de
dicho canino13.
 |
 |
Foto
5B.- Vista lateral derecha en la que se aprecia el canino superior temporal
derecho. |
Foto 5C.- Vista lateral izquierda en la que se aprecia el canino superior temporal
izquierdo. |
 |
|
Foto 5D.- Vista oclusal del mismo caso.
|
 |
 |
Foto
Foto 5E.- Vista lateral derecha con carillas en 11,12 y 53. |
Foto 5F.- Vista lateral izquierda con carillas en 21, 22 y 63. |
 |
|
Foto 5G.- Vista oclusal con carillas en 11, 12, 53, 21, 22 y 63.
|
Será
necesario que la zona radicular no haya sufrido reabsorción y que la
oclusión final sea función de grupo.
 |
 |
| Foto
5H.- Sonrisa que muestra los dos caninos superiores temporales. |
Foto
5I.- La misma sonrisa tras su corrección con seis carillas de porcelana
anteroposteriores. |
Malposiciones
moderadas
La
ortodoncia es la principal modalidad terapéutica de las malposiciones
dentarias. Pero la colocación de la aparatología fija coincide,
en muchas ocasiones, con pacientes en edades puberales “difíciles”
que no aceptan este tipo de tratamiento, lo cual limita mucho su aplicación.
 |
 |
| Fotos 6A y 6B.- Sonrisa que muestra malposiciones moderadas en la arcada superior. |
Las carillas de porcelana son tratamientos restauradores más rápidos
que la ortodoncia y disimulan ligeras asimetrías y malposiciones14.
 |
| Foto
Foto 6C.- Modelo maestro con carillas de porcelana de 14 a 24. |
Los
casos tratados con carillas de cerámica han de ser siempre malposiciones
leves. Para las malposiciones exageradas la única solución será
la rehabilitadora, bien con tratamiento ortodóncico o con coronas de
recubrimiento total.
 |
 |
| Fotos 6D y 6E.- Sonrisa que muestra la resolución del caso con carillas de
porcelana. |
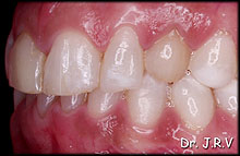
Fracturas dentarias
La
reconstrucción con composite de las fracturas dentarias leves es una
solución muy favorable debido a los avances en las técnicas de
adhesión15.
En los casos de fracturas de bordes incisales demasiado amplias, en las que
la reconstrucción con materiales compuestos esté comprometida,
su rehabilitación con carillas de cerámica será más
resistente, ya que la combinación de composite y cerámica para
restablecer un diente fracturado puede reproducir el comportamiento biomecánico
del diente intacto16.
 |
 |
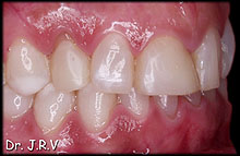
| Foto 7A.- Fracturas incisales amplias de 11 y 21. |
Foto 7B.- Resolución del caso con carillas de porcelana en 11 y 21. |
CONCLUSIONES
1.-
Las carillas de porcelana son una alternativa estética a tener en cuenta
por sus resultados clínicos a largo plazo y por la agresión mínima
al tejido dentario.
2.- No todos los casos se deben tratar con esta técnica, ya que existen
otras alternativas como los composites que, bien manejados, pueden suplirlas,
obteniendo unos resultados estéticos muy favorables.
3.- Las tinciones dentarias se tratarán con blanqueadores. Si fueran
muy intensas, con carillas. Si afecta a un incisivo central superior, la mejor
alternativa será el composite ya que se podrá conseguir un mejor
acercamiento del color al del diente contralateral.
4.- Los casos de malposiciones dentarias y diastemas se deben tratar con ortodoncia
y sólo se utilizarán las carillas de porcelana cuando el paciente
no acepte este tratamiento.
5.- Una indicación absoluta de las carillas de porcelana serán
los dientes conoides, por su poca preparación y sus excelentes resultados.
6.- Los dientes deciduos se pueden rehabilitar con carillas siempre que se preserve
la estructura de esmalte necesaria para obtener una buena adhesión.
7.- Las fracturas dentarias leves se rehabilitarán con composites. Si
afectan al tercio incisal, se dispondrá de la opción de carillas.
BIBLIOGRAFÍA
1.
Becerra Santos, G. Fundamentos estéticos en rehabilitación oral.
Parte I: Factores que influyen en la estética dental. Proporciones “doradas”.
Estética facial. Revista Internacional de Prótesis Estomatológica
2001;3(4):247-52.
2. Becerra Santos, G. Fundamentos estéticos en rehabilitación
oral. Parte II: Tipos de sonrisa. Consideraciones acerca del color. Percepciones
visuales e ilusiones ópticas. Revista Internacional de Prótesis
Estomatológica 2001;3(5):343-51.
3. Christensen GJ. The state of the art in esthetic restorative dentistry. J
Am Dent Assoc 1997;128(9):1315-7.
4. Attin T, Paque F, Ajam F, Lennon AM. Review of the current status of tooth
whitening with the walking bleach technique. Int Endod J 2003;36(5):313-29.
Se describe el procedimiento de blanqueamiento interno y se contraindica el
uso del calor.
5. Schwachman H. The tetracyclines applied pharmacology. Pediatr Clin N Amer
1956;3:295-303.
6. Urist MR, Visen HK. Chemical reactivity of mineralized tissue with oxitetracycline.
Arch Pathol 1963;76:484.
7. Garber D. Porcelain laminate veneers: ten years later. Part 1: Tooth preparation.
J Esthet Dent. 1993;5:56-62.
Resumen de casos de carillas a diez años.
8. Lui JL. Treatment of discoloured anterior teeth using a simple veneering
technique. Dent J Malays 1987;9(2):19-22.
9. Cooke MS, Wei SH. Esthetic treatment of severe tetracycline staining with
orthodontics and veneers: a case report. Quintessence Int 1994;25(3):161-5.
Se expone el tratamiento combinado de ortodoncia y carillas en un caso tinción
por tetraciclinas.
10. De Carlos-Villafranca F, Cueto-Suárez M, Cobo-Plana JM, Fernández-Mondragón,
MP. Los diastemas, etiología y soluciones: [1] etiología. RCOE
2000;5(4):363-71.
El autor relata con bastante detalle todas las posibles causas de diastemas,
deteniéndose en cada una de ellas.
11. Pensler AV. Multiple-diastema porcelain laminate veneers: a case study.
Compendium 1993;14(11) :1470, 1472, 1476-7.
En este artículo se muestra una preparación muy conservadora de
seis dientes anterosuperiores para colocar carillas de porcelana.
12. Miyajima K, Shirakawa K, Senda A. Application of porcelain veneers following
orthodontic treatment. J Can Dent Assoc 1993;59(2):167-70.
13. Aristidis GA. Etched porcelain veneer restoration of a primary tooth: a
clinical report. J Prosthet Dent 2000;83(5):504-7.
Se presenta el caso de un canino deciduo que se mantuvo en un adulto y se reconstruyó
con una carilla de porcelana extendida a la cara palatina y que permitió
aumentar la longitud del diente.
14. Tipton PA. Aesthetic tooth alignment using etched porcelain restorations.
Pract Periodontics Aesthet Dent 2001;13(7):551-5.
15. Andreasen FM, Daugaard-Jensen J, Munksgaard EC. Reinforcement of bonded
crown fractured incisors with porcelain veneers. Endod Dent Traumatol 1991;7(2):78-83.
16. Magne P, Douglas WH. Optimization of resilience and stress distribution
in porcelain veneers for the treatment of crown-fractured incisors. Int J Periodontics
Restorative Dent 1999;19(6):543-53
|