|
LIMPIEZA Y CUIDADOS DE LAS FÉRULAS DE DESCARGA PROTOCOLO PARA MINIMIZAR RIESGOS DE OSTEONECROSIS MANDIBULAR PRODUCIDA POR FÁRMACOS

PROTOCOLO PARA MINIMIZAR RIESGOS DE OSTEONECROSIS MANDIBULAR PRODUCIDA POR FÁRMACOS
AUTOR
Verónica Maregil González
- Higienista dental Gerencia de Atención Integrada de Ciudad Real. Unidades de Salud Bucodental de Migueltura y Porzuna.
- Nº colegiado 0068-CLM
1-RESUMEN
Los bisfosfonatos son fármacos muy frecuentes en la actualidad. Son fármacos que toman los pacientes que sufren de osteoporosis tanto para el tratamiento como para su prevención, enfermedad de Paget y pacientes oncológicos. Los factores de riesgo más importantes de estos medicamentos son la osteonecrosis mandibular (ONM), en la que existe una exposición del hueso mandibular o maxilar que persiste más de 8 semanas. Se propone un protocolo dirigido a los pacientes que tengan que tomar bisfosfonatos pensado en cuidar su estado bucal y así poder minimizar riesgos de ONM, en la que la figura del higienista dental es básica para cubrir estas necesidades, responsable de la educación de la salud bucal.
MATERIAL Y METODO
Revisión bibliográfica en PUBMED, MEDLINE Y GOOGLE.
PALABRAS CLAVE: Osteonecrosis jaw, bisphosphonates, denosumab, osteoporosis, oral hgygiene.
2. TEXTO
2.1 JUSTIFICACIÓN
La osteonecrosis mandibular se convierte en un reto para el profesional tanto el que prescribe los bisfosfonatos (reumatólogo), como para la consulta de odontología, que es donde más puede aparecer este problema, por ser donde se realizan los tratamientos dentales con riesgo a que aparezca la ONM por dicha praxis como exodoncias dental, tratamientos de implantes, tratamientos periodontales, etc..
La sociedad en la actualidad no está concienciada de una forma uniforme la importancia que es el cuidado de la cavidad oral, habiendo todavía un gran porcentaje de pacientes que acuden a la consulta dental para la realización de exodoncias, pudiendo restaurarlas o simplemente haber impedido que se llegue a ese estado con unos buenos cuidados como la higiene dental diaria, y las revisiones periódicas a la consulta de odontología.
El higienista dental es el titulado de formación profesional de grado superior que tiene como competencia, promoción y educación de la salud bucodental, la recogida de datos, la realización de exámenes de salud, el consejo de medidas higiénicas y preventivas individuales y colectivas y la colaboración de estudios epidemiológicos y es una figura que nace de la necesidad de la educación y promoción de la salud bucodental.
Su objetivo es conseguir que la población dé la importancia real de este cuidado bucal, con programas colectivos en edades tempranas, para que adquieran hábitos saludables y en un futuro prevenir problemas dentales, en grupos que tengan riesgo y haya que prevenir problemas dentales como embarazadas, diabéticos, personas que tomen bisfosfonatos, etc.., para modificar los hábitos que ya son adquiridos y mejorar su salud bucal intentando así prevenir muchos riesgos de patologías ya instauradas en la cavidad oral.
El higienista es la persona que tiene que ocuparse en la consulta dental de este campo, por lo tanto es muy importante su figura para poder minimizar el riesgo de ONM.
La higiene oral deficiente demuestra el aumento de biofilm, produciendo enfermedades en la cavidad oral como caries, gingivitis y enfermedad periodontal. Estas enfermedades producen dolor, infecciones y en muchos casos la perdida dental. Es por ello que surge la necesidad de crear un protocolo dirigido a la prevención de infecciones, aumentando la higiene oral para contribuir a minimizar los riesgos de enfermedad de la cavidad oral y así reducir los efectos secundarios de tratamientos dentales por la toma de fármacos como los bisfosfonatos.
Aunque instaurar los buenos hábitos de higiene oral en algunos grupos de edad no es tarea fácil por sus hábitos adquiridos durante muchos años, y porque la sociedad todavía no está concienciada de la necesidad y las consecuencias que tiene no tener estos hábitos, por ello es necesaria la figura del higienista como promotor y educador para la salud bucodental, a través de programas y medidas de higiene, para mejorar y mantener la salud bucodental en el paciente.
2.2 OBJETIVOS
- Minimizar todos los riesgos posibles para la aparición de ONM.
- Determinar la importancia de la higiene oral para el cuidado y mantenimiento de la salud oral como prevención de realizar tratamientos dentales y reducir el riesgo de ONM.
- Aumentar la relación profesional del Reumatólogo que prescribe este fármaco en el paciente y la consulta de odontología compuesta por el Odontólogo e Higienista dental.
- Siendo la cavidad oral una zona de alta incidencia de ONM y teniendo en cuenta la importancia de la higiene oral como factor preventivo de tratamientos dentales para reducir la prevalencia de ONM, el objetivo de este protocolo ha ido encaminado a analizar la literatura disponible y aplicarla a la práctica clínica, mediante un protocolo meticuloso de tratamiento precoz e higiene oral, con el fin de aumentar la salud oral de los pacientes y reducir la incidencia de ONM.
- Poner de manifiesto a la importancia del papel que realiza el Higienista dental como responsable en el campo de la promoción de la salud y la educación sanitaria bucodental, la recogida de datos, la realización de exámenes de salud y el consejo de medidas higiénicas y preventivas, individuales o colectivas, según la Ley 10/1986, de 17 de marzo.
2.3 DISCUSIÓN
Según la asociación española de reumatología recomienda los bisfosfonatos como primera línea de tratamiento en la osteoporosis, enfermedad ósea de Paget y pacientes oncológicos. Los bisfosfonatos (BF) son fármacos que inhiben la reabsorción ósea, se utilizan para la prevención y tratamiento de estas enfermedades por lo tanto son fármacos que están muy presentes en la actualidad.
La enfermedad ósea de Paget (EOP) es un trastorno que implica destrucción y regeneración ósea anormal. Esto causa deformidad de los huesos afectados. Los bisfosfonatos son fármacos del tratamiento de primera línea y ayudan a disminuir la remodelación ósea. Comúnmente se toman por vía oral, pero también se pueden administrar por vía intravenosa (IV).
En pacientes oncológicos los bisfosfonatos se utilizan para el tratamiento de la hipercalcemia maligna o la metástasis ósea de tumores sólidos, como el cáncer de mama, próstata, pulmón, vejiga, riñón y tiroides o en pacientes que padecen de mieloma múltiple. El tratamiento de estos bisfosfonatos se realiza por vía intravenosa (IV).
La osteoporosis es una enfermedad sistémica esquelética que se caracteriza por una disminución de la masa ósea y un deterioro de la estructura de los huesos, lo que supone un aumento de la fragilidad de los huesos y del riesgo de sufrir fracturas. Se estima que esta enfermedad tiene una prevalencia mayor de 200 millones de personas.
Los bisfosfonatos consiguen detener la resorción ósea y evitar la pérdida del mineral. Estos pacientes suelen tomar este tratamiento por vía oral. Se ha demostrado que incluso cuando se interrumpe el tratamiento con bisfosfonatos todavía ofrecen un efecto protector latente sobre la densidad mineral ósea, el mantenimiento de su efecto anti-fractura. Sin embargo, el uso prolongado durante años se ha relacionado con la aparición gradual de complicaciones tales como la osteonecrosis de la mandíbula o atípicas fracturas de fémur, que han planteado preguntas como cuándo llevar a cabo y cuándo hacer una ruptura definitiva o temporal, reconocidos como períodos de descanso o "vacaciones terapéuticas" de estos fármacos.
Por lo tanto, en los pacientes tratados con BF por un período de 3-5 años con un bajo riesgo de fractura, el fármaco debe interrumpirse y reiniciarse cuando hay una indicación de tratamiento. Por el contrario, en los pacientes con riesgo moderado, se recomienda las vacaciones terapéuticas, y calcular de nuevo después de 2-3 años para reiniciar el tratamiento. Por último, en pacientes con alto riesgo de fractura, el tratamiento con bisfosfonatos no debe ser retirada.
El objetivo del tratamiento de la osteoporosis con bisfosfonatos es la prevención de las fracturas por fragilidad, tanto a corto como a largo plazo, pero no debe de realizarse de forma generalizada e indiscriminada, no solo en base a la edad de las pacientes o al hecho de encontrarnos ante una mujer postmenopáusica, sino que su solicitud debería realizarse en base a la presencia de factores de riesgos.
La masa ósea en las mujeres continúa incrementándose a lo largo de la vida y alcanza su pico máximo alrededor de los 35 años de edad. La pérdida de hueso es más pronunciada durante los 3 a 4 años después de la menopausia, con un rango anual de 2,5%. De ahí en adelante, el rango desciende a 0,75% cada uno, por lo que resta de vida a la mujer. Hay causas que favorecen e incrementan la osteoporosis en la mujer, como la falta de esfuerzo físico sobre los huesos por inactividad, mala nutrición que no permite suficiente matriz, por falta de proteínas, lo que produce carencia de secreción estrogénica posmenopáusica, ya que los estrógenos estimulan la actividad osteoblástica y la edad avanzada en la cual la hormona de creci-miento y otros factores de este disminuyen mucho. Además, varias de las funciones anabólicas de las proteínas se encuentran reducidas de modo que no hay depósito satisfactorio de matriz ósea.
El tratamiento farmacológico para la osteoporosis es eficaz cuando se ha realizado las pruebas correspondientes y un diagnóstico personalizado para cada paciente y los riesgos/ beneficios que estos fármacos conllevan, como por ejemplo no hay evidencias de que el tratamiento precoz, en personas menores de 65 años aporte algún beneficio, ni tampoco hay suficiente evidencia para recomendar tratamiento a partir de los 80 años.
En muchas ocasiones los pacientes están sobremedicados con estos fármacos que no son necesarios en ese momento o van a ser poco eficaces pudiendo haber un tratamiento de primera elección sin medicación como son:
- Cambiar el estilo de vida, haciendo ejercicio físico. Estudios clínicos recientes demuestran que el ejercicio de alto impacto (aeróbicos, en especial) influye de forma positiva sobre la mineralización ósea en las mujeres perimenopáusicas, a la vez que mejora la integridad esquelética y el rendimiento muscular. Las estadísticas muestran menor incidencia de fracturas osteoporóticas entre las mujeres mayores de 40 años que practican ejercicios físicos con regularidad. Las mujeres posmenopáusicas sanas que caminan alrededor de 2 km diarios, tienen una mayor densidad ósea en todo el cuerpo que las que caminan menos; además, la caminata también hace más lento el rango de la pérdida ósea de las piernas. Por otro lado, el consenso actual es que un programa continuo y moderado de ejercicio combinado con otro de fuerza muscular, soporte de pesas y aeróbicos, probablemente ayuden a prevenir la osteoporosis y a conservar la estabilidad y agilidad esquelética, lo que disminuye el riesgo de caerse.
- La nutrición, dirigida a que las mujeres desde su infancia ingieran alimentos ricos en contenido cálcico, pues la dieta con alimentos como vegetales verdes, pescados y derivados lácteos, favorecen que la masa ósea llegue a su máximo nivel en el adulto y permite disminuir el riesgo de osteoporosis, y la aportación de Vitamina D que ayuda al cuerpo a favorecer la absorción del calcio, ésta se produce cuando la piel se expone directamente al sol y en algunos alimentos como son los pescados grasos.
Sin embargo y pese a la escasa eficacia de estos fármacos en muchas ocasiones, su consumo se ha disparado, multiplicándose por seis en los últimos diez años.
Un informe del Sistema de Salud del Reino Unido que ha examinado el uso de medicamentos para la osteoporosis en países desarrollados, sitúa a España a la cabeza en la prescripción de estos tratamientos, lo cual es una grave incongruencia si tenemos en cuenta que en España la incidencia de osteoporosis es de las más bajas no sólo de Europa sino del mundo. Es por ello que el tratamiento farmacológico debe de quedar limitado a aquellos pacientes de mayor riesgo que son los que realmente se van a beneficiar.
Así en el estudio de Sanfélix-Genovés y cols, éstos llaman la atención sobre el contraste de los altos niveles de tratamientos farmacológicos existente en la región valenciana y la baja prevalencia de factores de riesgo en adultos (50-65 años) que, sumado a la sobreutilización de la densidad mineral ósea, se traduce todo ello en un impacto muy importante en el gasto sanitario.
Los estudios realizados recientemente en España concluyen, por un lado, que sólo con alendronato se obtiene una razón coste-utilidad incremental aceptable cuando la mujer inicia el tratamiento con 69 o más años de edad, y por otro, que no se producen variaciones en la curva epidemiológica de la fractura de cadera a pesar del aumento de consumo de fármacos.
Por tanto, en España, el elevado consumo de fármacos para la osteoporosis no está justificado por razones de eficacia, seguridad y coste, siendo completamente imprescindible estimar el riesgo absoluto de fractura en los próximos años a la hora de decidir instaurar una terapia farmacológica. En la actualidad los fármacos disponibles para el tratamiento de la osteoporosis han demostrado eficacia principalmente en población de elevado riesgo de fractura y en la prevención de fracturas vertebrales.
Sólo el alendronato, risedronato zoledrónico y denosumab han demostrado un beneficio marginal en la prevención de fractura de cadera en pacientes de edad avanzada y fracturas vertebrales previas u otros factores de riesgo clínicos.
Por otro lado, es muy importante tener en cuenta que estos fármacos no están exentos de efectos adversos graves, por tanto es necesario reservarlos para pacientes de riesgo basal elevado y evitar exponer a efectos adversos a la población de bajo riesgo en la que los fármacos prácticamente no han mostrado eficacia.
En definitiva, una vez que se autoriza un nuevo medicamento por parte de las agencias reguladoras y más en este tipo de patología, la información sobre su eficacia y seguridad proviene de los estudios clínicos de referencia y, por tanto, los datos son muy limitados, lo que nos obliga a limitar su prescripción o, al menos, a que ésta sea "conservadora", y, en consecuencia, antes de prescribir un nuevo fármaco en esta patología se deberá proceder a una cuidadosa valoración beneficio/riesgo, así como a su adecuación a cada paciente frente a otras alternativas terapéuticas más eficiente como se ha descrito anteriormente.
Existen dos grupos de bisfosfonatos, nitrogenados o animados y no nitrogenados o no animados.
- Nitrogenados o aminados como alendronato, risedronato, ibandronato, pamidronato, ácido zoledrónico.
- No nitrogenados o no aminados como Etidronato, clodronato, tiludronato.
Antiguamente se utilizaban en primer lugar los bisfosfonatos no nitrogenados, actualmente se utilizan en la práctica clínica los Bisfosfonatos nitrogenados, mucho más potentes que los anteriores. También se clasifican según el procedimiento de síntesis y sus propiedades en Bisfosfonatos de primera, segunda y tercera generación.
Según la asociación española de reumatología los bisfosfonatos aprobados para el tratamiento de la osteoporosis (OP) son:
- Etidronato: Incrementa la masa ósea y reduce moderadamente el riesgo de fracturas vertebrales en mujeres con osteoporosis, con una duración de hasta 4 años, pero no reduce significativamente el riesgo de fracturas de cadera y no vertebrales.
- Alendronato: Reduce de forma significativa el riesgo de fracturas vertebrales y no vertebrales, incluidas las de cadera. Existe una presentación que contiene alen-dronato y vitamina D, y también alendronato sódico genérico, con una teórica bioequivalencia similar con el producto de marca.
- Risedronato: Es eficaz en la reducción del riesgo de fracturas vertebrales y no vertebrales, incluidas las de cadera, en mujeres posmenopáusicas y OP con y sin fracturas previa.
- Ibandronato: Es eficaz en la prevención de fracturas vertebrales por vía oral en mujeres posmenopáusicas con OP con y sin fracturas previas.
- Zoledronato: Es un BF comercializado para uso exclusivo por vía intravenosa. Es eficaz para reducir la incidencia de fracturas vertebrales clínicas, morfométricas, no vertebrales y de cadera durante 3 años. Constituye una alternativa para pacientes con osteoporosis y riesgo elevado de fracturas o en aquellos que no toleren o en los que estén contraindicados los BF por vía oral.
Listado de los bisfosfonatos usados en nuestro entorno:

Estos fármacos son muy eficaces para el tratamiento y prevención de estas enfermedades pero tiene efectos secundarios.
Esta es la clasificación de los efectos adversos de los bisfosfonatos.
1. Efectos secundarios extraóseos.
- Gastroesofágicos.
- Oculares
- Renales
- Hipocalcemia
- Respuesta en fase aguda
- Fibrilación auricular
- Gestación, lactancia
- Miscelánea
2. Efectos adversos óseos.
- Dolor músculo-esquelético.
- Sobresupresión del remodelado
- Fracturas atípicas
- Osteonecrosis de los maxilares
El efecto adverso difícil de manejar en la cavidad oral, es la osteonecrosis mandibular (ONM). La osteonecrosis es la muerte del hueso producido por falta de riego sanguíneo en él, produciendo la exposición del hueso en la cavidad oral. Los desencadenantes conocidos más frecuentes son la extracción o manipulación dentaria en pacientes tratados con bisfosfonatos.
Los casos graves pueden provocar la exposición y pérdida de gran parte de hueso. Dado que el fármaco causante se fija de forma casi irreversible al hueso, durante largo tiempo, la curación definitiva de la Osteonecrosis mandibular producida por bisfosfonatos es, hoy en día, improbable.
Según la Sociedad Española de Cirugía Oral y Maxilofacial (SECOM) existen factores de riesgo que producen la osteonecrosis mandibular por la utilización de bisfosfonatos, son:
- Los pacientes con mieloma múltiple tienen el mayor riesgo de presentación de ONM por bisfosfonatos, que se incrementa un 9% por cada década que aumente la edad. En segundo lugar estarían las pacientes con cáncer de mama.
- La vía intravenosa en pacientes oncológicos, los bisfosfonatos de mayor potencia (ácido zoledrónico), y un mayor tiempo de empleo y/o dosis se asocian con una mayor frecuencia de presentación de ONM por bisfosfonatos.
- Las osteonecrosis suelen presentarse en pacientes que han tomado bisfosfonatos orales durante más de tres años, en cambio, el tiempo de utilización de los pacientes con osteonecrosis en relación con los bisfosfonatos intravenosos puede ser inferior a 1 año.
- En las osteonecrosis en relación con los aminobisfosfonatos intravenosos los antecedentes de cirugía dentoalveolar multiplican por siete la posibilidad de presentación de ONM por bisfosfonatos.
- En las osteonecrosis en relación con aminobisfosfonatos orales, mucho más infrecuentes, el 50% de los casos se presentan espontáneamente.
- Los efectos de los aminobisfosfonatos intravenosos sobre el hueso pueden persistir incluso 10 años después de suspendido el tratamiento.
- Otros tratamientos o enfermedades concurrentes, diabetes, tabaco, alcohol, higiene oral, y quimioterapia, pueden suponer un incremento.
Después de haber sido tratado con bisfosfonatos intravenosos hay que seguir con las recomendaciones de evitar realizar cualquier tipo de cirugía oral después de 10 años tras la última administración de los bisfosfonatos por la presencia de ácido zoledrónico en ese período.
Según la Asociación Española de Cirugía Oral y Maxilofacial (SECOM), la Sociedad Española de Reumatología y la Asociación de la Agencia Española de Medicamentos y Productos Sanita-rios, recomienda una seria de medidas para prevenir la ONM en los pacientes que son tratados o lo van a ser con bisfosfonatos.
- Es importante que la decisión de iniciar tratamiento con BF se realice una vez evaluados los beneficios (prevención de fracturas por fragilidad ósea) y riesgos para el paciente individual, teniendo en cuenta que normalmente el tratamiento debe mantenerse a largo plazo, situación que puede ser un factor de riesgo para la OM.
- Deben tenerse en cuenta las recomendaciones de las guías clínicas actuales publicadas por los servicios de salud de las CC. AA. y las sociedades científicas.
- Una vez decidida la necesidad de tratamiento con BF, se deberán llevar a cabo las medidas preventivas dentales correspondientes:
- Se debe realizar una valoración inicial del estado de su salud buco-dental del paciente y revisiones odontológicas con regularidad. Además, deberá acudir a consulta odontológica tan pronto como presente síntomas tales como dolor o inflamación orales.
- Si son necesarias extracciones o procedimientos invasivos, se recomienda que el odontólogo refiera al enfermo a centros con experiencia en este tipo de pacientes
- Los pacientes que desarrollen una osteonecrosis mandibular, deberán recibir el tratamiento apropiado por profesionales con experiencia en esta patología.
- Para la aplicación efectiva de estas recomendaciones, es fundamental el desarrollo de guías y protocolos locales, compartidos por los diferentes medios y niveles asistenciales implicados en el seguimiento del paciente
Una vez que aparece la osteonecrosis hay cinco etapas en la clasificación para el diagnóstico de Osteonecrosis mandibular producido por bisfosfonatos propuesto por la Asociación Americana de Cirujanos Maxilofaciales.

En aquellos pacientes con intolerancia o contraindicación de los bisfosfonatos, se podría recomendar el uso de denosumab, un SERM o ranelato de estroncio, todos ellos con problemas de seguridad notificados por parte del PRAC (Comité para la Evaluación de Riesgo en Farmacovigilancia Europeo), como fue la supresión temporal de la comercialización en enero del 2014 del ranelato de estroncio, por aumento de acontecimientos cardiacos graves, tromboembolismos y/o reacciones cutáneas, o bien el riesgo de fracturas atípicas de fémur con el uso de denosumab, tras la lectura crítica que se ha realizado al estudio FREEDOM.
El denosumab, que su nombre comercial es Prolia y Xgeva. El Prolia es un fármaco que se utiliza para el tratamiento de la osteoporosis en mujeres y en varones con riesgo elevado de fracturas, y para el tratamiento de la pérdida ósea asociada con la supresión hormonal en hombres con cáncer de próstata y el Xgeva está indicado para la prevención de eventos relacionados con el esqueleto (fractura patológica, radioterapia ósea, compresión de la médula espinal o cirugía ósea) en adultos con metástasis óseas de tumores sólidos. Éste medicamento se administra con un inyección cada 6 meses, y aumenta la densidad ósea más que los bisfosfonatos.
También existe el raloxifeno, su nombre comercial Evista. Habitualmente se utiliza para la prevención y el tratamiento de la osteoporosis en mujeres posmenopáusicas y recientemente se ha aprobado para reducir el riesgo de cáncer de mama, reduce riesgo de fracturas vertebrales, pero no de fracturas de cadera. Se considera que el raloxifeno es una alternativa segura en el tratamiento de la osteoporosis en cuanto al desarrollo de osteonecrosis mandibular, pero ya hay casos descritos de aparición de osteonecrosis mandibular. Es un medicamento que se utiliza por vía oral.
Estos medicamentos tienen efectos adversos graves como los bisfosfonatos, que son la osteonecrosis mandibular y la Hipocalcemia. Se recomienda a los profesionales sanitarios adoptar las medidas preventivas necesarias para evitar la aparición de osteonecrosis mandibular y/o hipocalcemia como son:
- Revisión y mantenimiento de la higiene bucal al inicio y durante el tratamiento, evitando durante el mismo, procedimientos dentales invasivos en pacientes con factores de riesgo.
- Se debe recomendar a todos los pacientes que reciban tratamiento con Prolia y Xgeva que mantengan una buena higiene oral y que comuniquen inmediatamente cualquier anomalía o malestar bucal, como movilidad dental, dolor o inflamación du-rante el tratamiento.
- No se debe iniciar el tratamiento con denosumab en pacientes con patologías odontológicas que requieran cirugía o que no se hayan recuperado aún de una cirugía maxilofacial previa.
Son fármacos que deben considerarse y realizar los mismos cuidados que con los bisfosfonatos a la hora de seguir el protocolo con pacientes tratados con bisfosfonatos, ya que tiene los mismos efectos secundarios.
2.4 RESULTADOS
PROTOCOLO A SEGUIR DE SALUD BUCAL EN PACIENTES QUE VAN A SER TRATADOS CON BISFOSFONATOS.
Se valorará la edad del paciente, donde en algunos casos el paciente sea mayor y no sea lo suficiente autónomo, en este caso tendrá que ir a la consulta con un acompañante o tutor legal.
- Paciente autónomo.
- Paciente dependiente.
El objetivo es que el paciente o tutor legal sea consciente de la importancia del cuidado bucal durante el tratamiento con bisfosfonatos.
Por lo tanto, el protocolo a seguir en la consulta de odontología será el siguiente:
Paciente autónomo.
- El reumatólogo derivará al paciente a la consulta de odontología antes de empezar con el tratamiento con bisfosfonatos.
- Se realizará una revisión previa con apoyo de una ortopantomografía para ver el estado general de las piezas dentarias y el estado periodontal.
- Se valorará las exodoncias de las piezas que no tienen ningún tipo de restauración o que su restauración sea dudosa, para evitar que en un futuro de problemas y haya que extraerlas.
- Se realizará todos los procedimientos quirúrgicos que procedan.
- Se realizará una tartrectomía.
- Se restaurarán todas las piezas dentales posibles de restaurar.
- Si es preciso se hará una rehabilitación oral para reponer las piezas extraídas.
- El Higienista dental instruirá, educará y evaluará técnicas de cepillado para tener una adecuada higiene dental a su situación previa y actual del paciente
- Realizar una higiene dental 3 veces al día.
- La utilización del hilo dental y en algunos casos cepillos interproximales si la necesidad lo requiere.
- En el caso que el paciente tenga prótesis fija se recomienda el uso del waterpick y el superfloss.
- Enjuagues con flúor diario.
- El Higienista dental explicará al paciente que debe de asistir a la consulta de odontología a revisiones que consistirán en:
- Revisión de 3 a 6 meses para evaluar el estado bucal, si presenta una adecuada higiene y se realizará la aplicación de flúor tópico.
- Se revisará la prótesis que porte el paciente, si esta es removible, prestar mucha atención si hay ulceras por traumatismo o presenta algún roce ya que habrá que ajustarla para evitar heridas o úlceras.
- Se realizará una tartrectomía si la necesidad lo requiere evitando heridas en tejidos blandos.
Una vez conseguido que el paciente presente una salud bucal adecuada se le derivará a su Reumatólogo para empezar el tratamiento.
Paciente dependiente
- El reumatólogo tendrá que derivar al paciente a la consulta de odontología antes de empezar con el tratamiento con bisfosfonatos.
- Se realizará una revisión previa con apoyo de una ortopantomografía para ver el estado general de las piezas dentarias y el estado periodontal.
- Se valorará las exodoncias de las piezas que no tienen ningún tipo de restauración o que su restauración sea dudosa, para evitar que en un futuro de problemas y haya que extraerlas.
- Se realizará todos los procedimientos quirúrgicos que procedan.
- Se realizará una tartrectomía.
- Se tratarán todas las piezas que se puedan restaurar.
- El Higienista dental instruirá, educará y evaluará técnicas de cepillado al tutor responsable de este paciente para que realice una adecuada higiene dental y sea consciente de la situación previa y actual del paciente.
- Realizar una higiene dental 3 veces al día, es recomendable que si la higiene lo va a realizar el tutor o representante lo haga con cepillo eléctrico ya que es más eficaz y cómodo para el tutor.
- La utilización de cepillos interproximales si la necesidad lo requiere.
- En el caso que el paciente tenga prótesis fija se recomienda el uso del waterpick y el superfloss.
- Enjuagues con flúor diario, si el paciente no es capaz de enjuagarse el tutor mojará una gasa con el flúor y lo pasará por todas las piezas.
- El Higienista dental explicará al representante o tutor que el paciente debe de asistir a la consulta de odontología a revisiones que consistirán en:
- Revisión de 3 a 6 meses para evaluar el estado bucal, si presenta una adecuada higiene y se realizará la aplicación de flúor tópico.
- Se revisará la prótesis que porte el paciente, si esta es removible, prestar mucha atención si hay ulceras por traumatismo o presenta algún roce ya que habrá que ajustarla para evitar heridas o úlceras.
- Se realizará una tartrectomía si la necesidad lo requiere evitando heridas en tejidos blandos
Una vez conseguido que el paciente presente una salud bucal adecuada se le derivará a su Reumatólogo para empezar el tratamiento
2.5 CONCLUSIONES
- Sería conveniente realizar un protocolo a nivel de atención especializada y prima-ria para garantizar un correcto cuidado y seguimiento de su salud oral en los pacientes
tratados con bisfosfonatos.
- Los medicamentos que son usados como bisfosfonatos en tratamientos para la osteoporosis en mujeres postmenopáusicas son un problema, porque son usados como bisfosfonatos y no lo son, y todavía se desconoce todos los efectos adversos de éstos.
- Sería necesario la realización de estudios de los medicamentos nuevos que están saliendo al mercado para el uso del tratamiento y prevención de la osteoporosis en mujeres postmenopáusicas, para saber la acción de estos medicamentos y el riesgo que ocurra una osteonecrosis mandibular.
- La necesidad de que exista la figura del higienista dental en la consulta de odontología, que es el personal sanitario técnicamente cualificado para instruir, edu-car y evaluar, técnicas de cepillado para tener una adecuada higiene dental a su situación previa y actual del paciente tratado con bisfosfonatos
- Una buena información al paciente que vaya a ser tratado con bisfosfonatos, del cuidado de la higiene dental y las consecuencias que pueden llegar a tener si no tienen un buen cuidado de su cavidad oral, implica la reducción de tratamientos en la cavidad oral, por lo tanto implica una reducción de posibilidades de padecer osteonecrosis mandibular.
- Un cuidado óptimo involucra:
- Una evaluación del estado bucal antes de iniciar el tratamiento con bisfosfonatos, ayudado de unas pruebas radiológicas.
- Un planeamiento de tratamiento adecuado para cada paciente, obturaciones, exodoncias, endodoncias etc.
- Unas instrucciones de higiene para el cuidado y mantenimiento del estado bucal.
- Revisiones periódicas a la consulta de odontología.
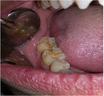
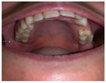
 Paciente en tratamiento con bifosfonatos por osteoporosis con necesidad de tratamientos de piezas dentales
 Paciente en tratamiento con bifosfonatos por osteoporosis sin necesidad de tratamiento bucodental
 Paciente en tratamiento con bifosfonatos que necesita tratamiento dental y periodontal.
 Kit de higiene dental
 Explicación de limpieza lingual
 Explicación de técnica de cepillado
 Explicación del uso de hilo dental
BIBLIOGRAFÍA
- Moro Álvarez MJ, Neyro JL, y Castañeda S, Festivos terapéuticos en la osteoporosis: estrategia a largo plazo del tratamiento con bisfosfonatos; Med Clin (Barc). 2016 Ene 1; 146 (1): 24-9. doi: 10.1016 / j.medcli.2015.03.017. Epub 2015 Jun 3
- Actualización 2011 del consenso Sociedad Española de Reumatología de osteoporosis Rev Clin Periodoncia Implantol Rehabil Oral. 2015; 8(2):176---181, Vol. 7 Núm.6 DOI: 10.1016/j.reuma.2011.05.013
- Jaimes, M.; Chaves Netto, H. D. M.; Olate, S.; Chaves, M. M. G. A. & Barbosa, A. J. R. Bisfosfonatos asociado a osteonecrosis de los maxilares. Int. J. Morphol., 26(3):681-688, 2008.
- Luis Arbole, Mercedes Alperi, Sara Alonso, Efectos adversos de los bisfosfonatos Reumatol Clin 2011;7:189-97 - Vol. 7 Núm.3 DOI: 10.1016/j.reuma.2010.10.005.
- Marín Fernández AB1, Arjona Giménez C2, de Dios Navarrete J2, Osteonecrosis de los maxilares asociada al uso de bisfosfonatos orales: a propósito de cinco casos. Rev Osteoporos Metab Miner 2012 4;1:37-41.
- Leticia Lojo Oliveira, Antonio Torrijos Eslava, Formación médica continuada, Tratamiento de la enfermedad ósea de Paget, Reumatol Clin 2012;8:220-4 - Vol. 8 Núm.4 DOI: 10.1016/j.reuma.2011.06.003
- Carolina Rojas a, Carolina Rivera a, Julio Villanueva b y Nicolás Yanine b. Revista Clínica de Periodoncia,Implantología y Rehabilitación Oral, Rev Clin Periodoncia Implantol Rehabil Oral. 2015; 8(2):176---181.
- F.J. Barrientos Lezcano1, B. Peral Cagigal1, G. de la Peña Varela1, L.A. Sánchez Cuéllar2, J.M. García Cantera2, A. Serrat Soto2, A. Verrier Hernández, Osteonecrosis de los maxilares inducida por bisfosfonatos: prevención y actitud terapéutica. Rev Esp Cir Oral y Maxilofac 2007;29,5 (septiembre-octubre):309-317 © 2007 ergon.
- l Prof. Dr. Junquera LM,Sociedad Española de Cirugía Oral Y Maxilofacial (SECOM)* Diagnostico, prevención y tratamiento de la osteonecrosis de los maxilares por bisfosfonatos. Recomendaciones de la Sociedad Española de Cirugía Oral y Maxilofacial.
- Sosa Henríquez M1,2, Gómez de Tejada Romero MJ2, Bagán Sebastián JV2, Díaz Curiel M2, Díez Pérez A2, Jódar Gimeno E2,Junquera Gutiérrez L2, del Pino Montes J2, Vicente Barrero M, Osteonecrosis de los maxilares, documentos especiales/ Rev Osteoporos Metab Miner 2009 1;1:41-51.
- Dra. Nubia Yadira Prado BernalDr. Enrique Ensaldo CarrascoDra. Jenny Alexandra Prado Bernal, Manejo estomatológico del paciente en terapia con bisfosfonatos, Revista aDM /eNeRO-FeBReRO 2011/vOL .LXviii. NO.1. pp. 8-16.
- Coello Suanzes, Jose Antonio; Lledó Villar, Emilio, Recomendaciones en la prevención y manejo de la osteonecrosis maxilar por bisfosfonatos, Sociedad española de Epidemiología y Salud Pública Oral. Protocolo SESPO.
- Silvana Noemí Picardo, Sergio Armando Rodriguez Genta y Eduardo Rey, Osteonecrosis maxilar asociada a bisfosfonatos en pacientes osteoporóticos,Revista Española de Cirugía Oral y Maxilofacial, 2015;37(2):103–107.
- Dr. Miguel Lugones Botell, osteoporosis en la menopausia. Prevención y estrategias terapéuticas actuales , Rev Cubana Obstet Ginecol 2001;27(3):199-204
- Olmo Quintana V1,2 y Martín Torres M1, Osteoporosis: una mirada hacia el futuro desde de Atención Primaria, Rev Osteoporos Metab Miner 2014 6;4:79-82.
- A. Neuprez, S. Coste, E. Rompen, J. M. Crielaard,J. Y. Reginster, Osteonecrosis of the jaw in a male osteoporotic patient treated with denosumab, Osteoporosis International,January 2014, Volume 25, Issue 1, pp 393–395.
- Agencia Española de Medicamentos y productos sanitarios, gobierno de España, Denosumab (Prolia®, ?Xgeva®): Información actualizada con el fin de minimizar el riesgo de osteonecrosis mandibular e hipocalcemia. Septiembre 2014.
- Dale A. Baur, Mehmet Ali Altay, Sorin Teich, Meghan Schmitt Oswald, Faisal A. Quereshy, Quintessence: Publicación internacional de odontología, ISSN 0214-0985, Vol. 3, Nº. 8, 2015, págs. 610-615
 |
| |
|
|
|