|
¿QUÉ SABEMOS SOBRE LA HIPOMINERALIZACIÓN INCISIVO - MOLAR?
COMPLICACIONES MÁS COMUNES DE LOS PIERCINGS EN LA CAVIDAD ORAL

COMPLICACIONES MÁS COMUNES DE LOS PIERCINGS EN LA CAVIDAD ORAL
AUTOR
María José Guerrero
- licenciada en Odontología por la Universidad de Barcelona.
- Coordinadora de ciclos formativos de higiene bucodental y prótesis dental.
INTRODUCCIÓN
Mejorar nuestro aspecto externo de diferentes maneras es una costumbre inherente al ser humano: cambiarse la ropa, el peinado o cambiar nuestro aspecto con joyas está aceptado e incluso bien visto. Dentro de este cambio de aspecto también se contempla intervenir en nuestro cuerpo. Los tatuajes, los piercings y las escarificaciones forman parte de nuestro día a día.
Pero todos esos cambios no son ninguna novedad. Antiguamente ya se realizaban piercings y tatuajes en el cuerpo de soldados, mujeres para diferenciar si estaban casadas o solteras, niños para distinguirlos entre diferentes grupos étnicos.
Es innegable que en los últimos años este tipo de alteraciones en el organismo se han puesto de moda sobre todo entre jóvenes y adolescentes, aumentando el número de tatuajes y piercings de una forma espectacular.
La adolescencia es un periodo de rebeldía en el que la persona busca su identidad. Los motivos principales que llevan a un adolescente a hacerse un piercing son reivindicar su personalidad, imponerse ante la autoridad, ser original, integrarse en un grupo, buscar nuevas experiencias… Las alteraciones emocionales también son una causa importante. Un abandono de la pareja o una fuerte discusión pueden llevar a tomar esa decisión.
Al margen de que cada vez está más regulado, como cualquier acto realizado en el organismo, la colocación de un piercing no está exenta de riesgos, y sería una irresponsabilidad no reconocerlo. De hecho, en numerosos países está prohibido donar sangre a personas que se hayan realizado un tatuaje o un piercing por el riesgo de contagio de enfermedades como el VIH o la hepatitis hasta pasado un tiempo de la colocación.
Por desgracia, la mayoría de los problemas que surgen tras la colocación del piercing se deben al desconocimiento sobre odontología del personal que lo coloca. Aunque actualmente estén obligados a recibir cursos de formación, no se pueden comparar los conocimientos sobre la materia que puede tener un odontólogo o higienista dental titulado.
Sucede lo mismo cuando se han de solucionar problemas surgidos tras la colocación. El paciente tiene tendencia a no visitar su clínica dental de confianza cuando aparecen los problemas principalmente por miedo al rechazo y por, generalmente, la corta edad de los afectados. Esto les lleva a intentar solucionar problemas de salud oral que pueden llegar a ser muy graves consultando a la persona que le colocó el piercing en lugar de acudir a un odontólogo.
CONSEJOS A LOS PACIENTES QUE QUIERAN REALIZARSE UN PIERCING EN LA CAVIDAD ORAL
Aunque el mejor consejo siempre es recomendar al paciente que no se lo haga, si vemos que está decidido, podemos darle una serie de orientaciones:
- Es importante ir a un sitio registrado y controlado por las autoridades sanitarias. En Madrid concretamente, el decreto 35/2005 del 10 de marzo regula las prácticas de tatuaje, micropigmentación, perforación cutánea (piercing) u otras prácticas similares de adorno corporal. Los centros que realizan piercings han de estar inscritos en un registro de la Dirección General de Salud Pública.
- En uno de los enlaces de la bibliografía se puede consultar toda la información respecto este tema que brinda la Comunidad autónoma de Madrid. Recomiendo su lectura ya que aquí se puede comprobar los requisitos que ha de tener un centro para obtener su registro así como la formación que ha de tener el personal que realiza las perforaciones.
- Se ha de evitar realizar piercings en aquellas zonas que estén infectadas o tengan abcesos. Hemos de recordar aunque sea una obviedad que la enfermedad periodontal es una infección que en muchos casos es ignorada por el paciente o por la persona que coloca el piercing, con el consabido riesgo que representa perforar la lengua o el labio y dejar una herida abierta en un entorno plagado de bacterias.
- Todo el procedimiento de colocación del piercing se ha de realizar en un entorno estéril. Es decir, que todo el material que se utilice ha de ser estéril (a ser posible de un solo uso), la zona a tratar ha de estar limpia y desinfectada y el personal ha de trabajar con guantes.
- El candidato a colocarse un piercing ha de firmar un consentimiento informado en el que se le explique con claridad el procedimiento que realizaran, el material que se le colocará y los datos de la persona que realice el procedimiento. Así mismo, también deberá explicarse cómo se tendrá que cuidar el piercing, sobre todo los primeros días tras la colocación.
- En caso de menores de edad no emancipados tendrá que firmar el consentimiento el padre, madre o tutor legal del menor.
COMPLICACIONES MÁS COMUNES
La tasa de complicaciones varía en los diferentes estudios. Se cree que esta tasa oscila en función de la localización del piercing, el material del que está hecha la joya, la experiencia de la persona que lo realiza, las medidas de asepsia que se utilizan y los cuidados posteriores.
Los piercings con más complicaciones son los de lengua.
- DOLOR
El procedimiento es ambulatorio y se realiza habitualmente sin anestesia. Teniendo en cuenta que el dolor es un síntoma completamente subjetivo, es complicado en muchas ocasiones diferenciar entre el dolor habitual propio de los días posteriores a la colocación del piercing, y el dolor de más intensidad que ya se podría interpretar como una complicación.
- INFLAMACIÓN
Es la complicación más común tras colocar el piercing junto con el dolor. La inflamación empieza a producirse horas después de la perforación y va en aumento durante los 3-4 primeros días. Si todo va bien y no se complica con una infección, el tejido se regulará semanas después de la colocación del piercing. Es muy importante que la persona que coloca la joya calcule perfectamente el tamaño de la barra de la joya para que pueda hacer cabida a la inflamación. Lo habitual es colocar una joya con una barra larga durante las primeras semanas y sustituirla por una barra más pequeña aproximadamente 2 meses después.
- HEMORRAGIA
En circunstancias normales, el sangrado que se produce tras la colocación del piercing es mínimo. Esto se debe a que la barra de la joya tiene un diámetro muy parecido a la aguja con la que se perfora el tejido. De esta manera, la misma joya hace compresión en la herida.
La localización que más problemas de hemorragia da es la lengua. Es un órgano muy vascularizado y tiene mucha tendencia a sangrar.
Los motivos del sangrado son variados: que la herida atraviese o esté próximo a un vaso sanguineo, que el tamaño de la joya no sea el adecuado o que el paciente sin querer muerda la joya y se produzca un desgarro durante o tras la cicatrización.
- INFECCIÓN
Según los diferentes estudios, entre el 10 y el 20% de las perforaciones se infectan. Estas infecciones pueden ser locales, cuando afectan únicamente la zona perforada, o sistémicas, cuando las bacterias traspasan los límites de la zona perforada, viajan por el organismo y provocan una infección en otra zona del cuerpo, como puede ser el corazón.
Se han descrito casos de endocarditis bacteriana derivada de la colocación de piercings. Es fundamental acudir a un profesional de la sanidad ante la aparición de fiebre, temblores o enrojecimiento intenso del tejido.
La infección se suele deber a una higiene deficiente, a la utilización de instrumental contaminado durante la colocación del piercing o a una manipulación incorrecta de la joya.
- OBSTRUCCIÓN DE LA VÍA AÉREA
Aunque es una complicación poco común, es de las que más compromete la vida del paciente. Suele suceder tras la colocación de piercings de lengua que se infectan y se inflaman. Si el paciente ignora esta inflamación y entiende que es normal, puede seguir inflamándose hasta que se tapen las vías aéreas y el paciente no pueda respirar.
En estos casos, el paciente ha de ser ingresado para garantizar en todo momento la permeabilidad de las vías.
- PARESTESIA
Como he dicho antes, el desconocimiento de la anatomía de cabeza y cuello de la persona que realiza la perforación puede hacer que por error atraviese una estructura nerviosa y que esto le provoque al paciente una sensación de hormigueo o adormecimiento de la zona afectada.
- SIALORREA
Es una complicación secundaria que remite con el paso de los días. Cuando en la cavidad oral se detecta un cuerpo extraño el organismo lo relaciona con comida y segrega saliva. Con el paso del tiempo, la lengua y el paladar se acostumbran a la nueva situación y dejan de ordenar la producción de saliva. Durante los días en los que se da este problema, el paciente puede tener dificultad para hablar debido a la producción de saliva.
|
|
 |
- INTRUSIÓN DEL PIERCING
Sucederá cuando el tamaño de la barra de la joya no sea el adecuado y no pueda absorber la inflamación que se produce o cuando el paciente tiene una infección sin tratar que perdura en el tiempo. Llegará el momento en el que la barra de la joya no de más de sí y los dos extremos se introduzcan en el tejido. Es una complicación que llevará al paciente al hospital para realizar radiografías que permitan localizar la joya y se solucionará interviniendo al paciente para alcanzar la joya y retirarla.
- ALERGIA
Aunque actualmente es una complicación poco común por que los materiales utilizados en las joyas son hipoalergénicos, materiales como la silicona o determinadas aleaciones de metales pueden dar problemas de alergia. El problema se detectará por que se producirá un enrojecimiento en la zona circundante a la joya. El único alivio a este problema es la retirada de la joya que produce la alergia sustituyéndola por una de titanio o acero quirúrgico.
- ROTURA DEL ESMALTE
El simple hábito de jugar con la joya continuamente mordisqueándola con los dientes provoca a menudo pequeñas fracturas del esmalte. Es importante en estos casos diferenciar el material del que está hecha la joya, siendo más frecuentes las fracturas en piercings de metal que en otros como pueden ser los de silicona.
|
|
 |
- DIASTEMAS O MALPOSICIONES DENTARIAS
Se deben al juego continuado con la joya, ya sea mordisqueándola o empujándola con la lengua contra los dientes. Con el tiempo, esta suma continuada de pequeños impactos produce un movimiento del diente afectado. Con la retirada del piercing no se solucionará el problema, ya que el diente dejará de moverse, pero no volverá a su posición original.
|
|
 |
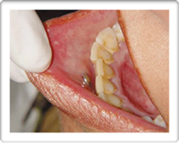
- RECESIÓN GINGIVAL
Es muy importante que el profesional que coloca el piercing calcule muy bien su posición. Cualquier joya que contacte directamente con el margen gingival de la encía, sea en lingual o en palatino, provocará una recesión gingival en la zona de contacto. La recesión se debe a la acción mecánica que ejerce el piercing sobre la encía.
Los estudios demuestran que así como en una primera fase la recesión no se acompaña de otros signos, si no se soluciona el problema retirando el piercing, con el tiempo se acompañará de pérdida de inserción y de cúmulo de placa.
Este problema se puede detectar con bastante rapidez, ya que el margen gingival es muy sensible y la recesión se producirá durante los primeros meses tras la colocación del piercing.
|
|
 |
 |
- ASPIRACIÓN DE LA JOYA
Siempre hemos de aconsejar a los pacientes portadores de piercing que controlen la rosca que cierra su joya. Con el tiempo aumenta el riesgo de que se desenrosque, con el peligro de que el paciente la ingiera o vaya a vías respiratorias. Esta es una de las complicaciones más peligrosas que el paciente puede tener.
|
|
 |
- DIFICULTAD EN LA DEGLUCIÓN O DEFECTOS EN EL HABLA
El piercing puede dificultar el habla al interferir los movimientos de la lengua. Esto puede provocar que sea complicado para el paciente la pronunciación de determinados sonidos. Lo mismo sucede con la masticación. Este inconveniente suele remitir con el paso de los días.
- FISURA O DESGARROS DE LA LENGUA
Se produce cuando el paciente juega continuamente con la joya. Esto puede provocar que el orificio se vaya abriendo poco a poco. En ocasiones también sucede que por accidente se muerde la joya mientras se mueve la lengua, produciéndose un desgarro. En este caso, se ha de proceder como si el piercing volviera a estar recién colocado, ya que el tejido tiene que volver a cicatrizar.
BIBLIOGRAFÍA
- Alegría G, Samara G, López MA “Riesgos de la salud por el uso del piercing oral” Ciencia Dental v.5, n.2 Agosto 2008
- Cidoncha G, Sanchez G, Domínguez E, Herrera J “Piercing oral: una amenaza para la salud periodontal” Ciencia Dental v.5, n.1 Abril 2008
- De Leon Torres C, Ochoa García L, Dufoo Olvera S, Diaz Ramirez JA “Piercing en la cavidad oral: la moda que arriesga la salud” Revista Odontológica mexicana v 8 num 4 Diciembre 2004
- Delgado K,”Alteraciones causadas por el uso del Piercing bucal: artículo de revisión” Revista Venezolana de Odontología v.4,n.1 92-105.
- Haces m, Cardentey J, Zeida C, “El uso del piercing en la cavidad bucal de adolescentes” Revista de ciencias médicas Vol 18, n. 2 mar abril 2014
- Macchiavello, C, Alvo A, Bravo G, Naser A “Piercings en cabeza y cuello” Revista de Otorrinolaringología y cirugía de cabeza y cuello vol 74 nº1 Abril 2014
- Martin Ardila, C, Guzman Zuluaga I “Asociación entre piercing lingual y recesión gingival” Revista Habanera de ciencias médicas v. 8, n. 4, oct-nov 2009
- Perez-Cotapos, Maria Luisa, Cossio Laura “Tatuajes y perforaciones en adolescentes” Rev Med Chile, v.134, n.10, Octubre 2006.
- http://www.madrid.org/cs/Satellite?cid=1142330136471&pagename=PortalSalud/Page/PTSA_pintarContenidoFinal
- http://www.madrid.org/cs/Satellite?blobcol=urldata&blobheader=application%2Fpdf&blobheadername1=Content-Disposition&blobheadervalue1=filename%3Dguia.pdf&blobkey=id&blobtable=MungoBlobs&blobwhere=1266139770856&ssbinary=true
 |
| |
|
|
|