|
BLANQUEAMIENTO EXTERNO EN DIENTES CALCIFICADOS DENTRO DEL MARCO DE LA ODONTOLOGÍA MÍNIMAMENTE INVASIVA. SERIE DE CASOS
REVISIÓN DE LAS VENTAJAS DEL USO DE TECNOLOGÍA DE ESCANEADO INTRAORAL POR PARTE DEL HIGIENISTA DENTAL EN EL TRATAMIENTO ORTODÓNCICO
FOTOGRAFÍA CLÍNICA

BLANQUEAMIENTO EXTERNO EN DIENTES CALCIFICADOS DENTRO DEL MARCO DE LA ODONTOLOGÍA MÍNIMAMENTE INVASIVA. SERIE DE CASOS
AUTOR
Verónica Rebollo Martín
- Técnico Superior en Higiene Bucodental.
- Col. Nº 281491 del Colegio Profesional de Higienistas Dentales de Madrid.
PREMIO MARISA CASARES 2017
INTRODUCCIÓN:
El blanqueamiento dental es un proceso clínico odontológico que se ha aplicado desde hace mucho tiempo, por lo que lo convierte en una técnica ampliamente conocida, sin embargo, ante la demanda estética del mercado los productos odontológicos han ido mejorando logrando resultados cada vez más cercanos a las expectativas de los pacientes más exigentes.(1)
El bienestar psicosocial de una persona puede ser influenciado por el atractivo de la sonrisa.
En muchos casos, sólo un diente puede comprometer toda la armonía de la sonrisa.
A menudo nos encontramos en la clínica con situaciones que pueden enfocarse desde distintos puntos de vista a la hora de su resolución.(7)
|
El color dental no se puede considerar como un parámetro estable sino que varía de un individuo a otro, de una dentición a otra, de un diente a otro e incluso a lo largo del tiempo en un mismo diente. Ademas, se debe tener en consideración que la percepción del color es el resultado de una combinación de tres factores, la luz, el objeto y el observador (2-1).
|
|
EFECTOS DEL BLANQUEAMIENTO SOBRE LA MORFOLOGÍA, COMPOSICIÓN QUÍMICA Y ESTRUCTURA DEL DIENTE.
ESTRUCTURA DEL DIENTE
Los dientes están formados a partir de tres sustancias duras: el esmalte, la dentina y el cemento; y una sustancia blanda (pulpa dentaria).
La corona dental visible en la cavidad bucal está recubierta con esmalte, que es la sustancia más dura del cuerpo humano. (3)
La técnica de blanqueamiento dental es una práctica habitual para corregir la decoloración de los dientes. La mayoría de los agentes blanqueadores son oxidantes fuertes, como el peróxido de carbamida o el perborato sódico, siendo el más común el peróxido de hidrógeno (4-1, 4-2).
|
|
|
La técnica de blanqueamiento dental es una práctica habitual para corregir la decoloración de los dientes. La mayoría de los agentes blanqueadores son oxidantes fuertes, como el peróxido de carbamida o el perborato sódico, siendo el más común el peróxido de hidrógeno (4-1, 4-2).

Hay estudios, por ejemplo el de ESEM que muestran cambios muy notables en relación con la morfología en la superficie del esmalte blanqueado en comparación con la superficie del esmalte no tratado.(5)
La típica estructura del esmalte en forma de prismas se observa en la parte del esmalte sin tratar mientras que, después del blanqueamiento, se evidencia una pérdida total de esta morfología, apareciendo cavidades longitudinales profundas en las zonas más superficiales del esmalte. (5)

En cuanto a los efectos producidos en la dentina, las micrografías de ESEM no muestran ningún cambio, quedando la parte de la dentina inalterada.(5)
Estos estudios, demuestran que el tratamiento con peróxido de hidrógeno a 38% durante 20 minutos produce cambios morfológicos significativos en las partes más superficiales del esmalte sin alterar el área de la dentina. Se han descrito en la literatura resultados similares con otros agentes blanqueadores menos abrasivos.(5-1)
La causa real de la decoloración debe ser diagnosticado con el fin de realizar un tratamiento correcto.
JUSTIFICACIÓN
El traumatismo dental es la causa más frecuente de decoloración de un sólo diente.
Según la OMS a nivel mundial, entre el 16% y el 40% de los niños con entre 6 y 12 años padecen traumatismos bucodentales debidos a la falta de seguridad en los parques infantiles y escuelas, los accidentes de tránsito y los actos de violencia.(11).
(9)
Un traumatismo en la dentición, en la mayoría de los casos puede resultar en pulpa calcárea, dando así decoloración amarillenta a la corona, disminuyendo la translucidez de la dentina, debido a la deposición de tejido duro dentro de la cámara pulpar y del espacio del conducto radicular (dentina terciaria).
Tras el traumatismo entre 3 meses y un año puede modificar la coloración, todo dependiendo de la composición estructural de la pieza.
El Ilustre Consejo General de Colegios de Odontólogos y Estomatólogos de España recoge varios datos a observar en la siguientes tablas que expongo a continuación:
versión impresa ISSN 1138-123X
En la siguiente tabla se registra la prevalencia de traumatismos dentales observando picos destacables de frecuencia en niños .(9,1)
En dentición permanente destaca el tramo de edad comprendido entre 9-10 años.
En dentición temporal destaca el tramo de edad comprendido entre 10-24 meses.
Al ser a tan corta edad cuando acuden a consulta no recuerdan el motivo del traumatismo con exactitud.
Quedan reflejados en distintos estudios la incidencia y frecuencia de traumatismos dentales:

Quedan reflejados en distintos estudios la incidencia y frecuencia de traumatismos dentales:
*Se desarrollan más a menudo en los dientes anteriores de jóvenes.
*Es el incisivo central superior izquierdo el que destaca en frecuencia de traumatismos, viéndose además clara diferencia entre arcadas, siendo la inferior prácticamente no dañada.
Reflejan también los datos aportados por Avances en Odontoestomatología (versión On-line ISSN 2340-3152versión impresa ISSN 0213-1285) publicado en Madrid en 2003 que en niños la alteración en mayor que en niñas.
(Temuco (Chile)2012)
(10) (10*1)
|
|
|
*El cambio de color es sin duda la alteración que destaca sobre el resto tras un traumatismo.(10)

Aproximadamente del 4% al 24% de los dientes traumatizados desarrollan grados variables de pulpa obstrucción del canal.
Las calcificaciones pulpares se producen tanto en diente anteriores como posteriores y existen una serie de razones por la cual se producen:(13)
- resultado del proceso natural de envejecimiento del diente.
- como consecuencia de trauma prolongado.
- infección prolongada.
- caries dental, etc.
El mecanismo exacto de la obliteración del canal es desconocido.
El fenómeno podría ser o bien un resultado de la estimulación de los odontoblastos preexistentes o la pérdida de mecanismo regulador .(12)
Otros autores creen que la calcificación se produce en respuesta a una lesión del suministro neurovascular de la pulpa.(12)
Existen múltiples causas por las que un diente puede sufrir un oscurecimiento importante con respecto al resto.
Centrándome en los traumas dentales:

¿Qué sucede si el diente se ha calcificado y no se encuentra un canal radicular?
La calcificación del tejido pulpar es un fenómeno frecuente. Aunque las estimaciones de incidencia de estos hallazgos varían ampliamente, se puede afirmar que, al menos el 50% de todos los dientes, presentan una o más calcificaciones pulpares. (14-1-2-3-4-5-6-7)
La obliteración radiográfica se debe a un depósito excesivo de un tejido remineralizado que recuerda al cemento, o en ocasiones al hueso, sobre las paredes dentinarias.(14-1-2-3-4-5-6-7)
Desde el punto de vista clínico, las coronas de los dientes con metamorfosis calcificante pueden tener un tono amarillento, en comparación a los dientes vecinos.(14-1-2-3-4-5-6-7))
Como se puede observar con los datos anteriormente expuestos, las causas de cambio de color en dientes de sector estético es muy frecuente y recuerdo que en muchos casos, sólo un diente puede comprometer toda la armonía de la sonrisa.
MATERIAL Y MÉTODOS:
Tras hacer consultas bibliográficas en pubmed, web de consultas de referencias odontológiocas, tratar casos con doctores de especialización contrastada, a continuación expongo casos que:
Realizando blanqueamiento externo combinado en la pieza afectada, tras valoración del Dr./Dra de que no existe ninguna lesión que lo impida para ello, se puede conseguir una sonrisa con más armonía en su coloración.
- Objetivo del estudio:
Se pretende comprobar en dientes calcificados (más oscuros que el resto de dientes), la eficacia de blanqueamiento externo para homogeneizar el color con el resto de la arcada sin necesidad obligada de tener que realizar tratamiento de conductos, blanqueamiento interno y colocar carillas o coronas en este tipo de piezas dentales.
Para el seguimiento de casos se ha seleccionado pacientes con pieza dental vital en buen estado de salud del sector posterior, con conducto calcificado, siendo ésta más oscurecida.
- Criterios de inclusión
- Ser mayor de 18 años
- Buena salud general y bucal
- Dientes libres de lesiones de caries y enfermedad periodontal
- Estar de acuerdo con el documento del consentimiento informado
- Que la coloración de los dientes antero superiores sea clasificada
- Criterios de exclusión
- Experiencia previa de blanqueamiento dentario.
- Prótesis dental .
- Embarazadas o en período de lactancia.
- Consumo de medicamentos.
- Pacientes que utilicen aparatos ortodóncicos fijos.
- Sensibilidad dentaria.
- Pruebas para comprobar que se puede realizar blanqueamiento externo:
*Valoración externa de la pieza dental haciendo prueba de vitalidad para ver si la pieza dental responde a estímulos de cambio de temperatura , dando resultado positivo o negativo, prueba de percusión para descartar lesión apical, prueba de palpación y sondaje.br>
*Valoración tejidos de alrededor de la pieza que vamos a tratar, que no haya signos de infección como fistulas, inflamación de encías.
*Valoración interna con radiografías periapicales, ortopantomografía e incluso tac, para ver que la estructura dentaria está completa y poder observar el conducto radicular si está calcificado, y la cámara pulpar, ver que el ligamento periodontal no está inflamado.
- Producto blanqueador utilizado:
*Para parte ambulatoria, blanqueamiento Zaris TM White&Brite perdóxido de carbamida 16%. aplicación 3horas/día en férulas a medida.
*Para sesión clínica, blanqueamiento polaoffice 37,5% de peróxido de hidrógeno, aplicación 20min/sesión clínica.
- Desarrollo del tratamiento:
- 1ºcita.- Toma de impresiones para férulas de blanqueamiento con cubeta a medida con alginato+ higiene para la remoción de manchas extrínsecas y eliminación de sarro o placa bacteriana + firma de consentimiento informado.
- 2ºcita.- Entrega de férulas, explicar proceso de tratamiento , entrega de primer kit ambulatorio y hacer fotos estudio inicial, se usa guía VITA para tener referencia de color.
- 3º cita.- Sesión con lámpara en clínica con el aislamiento de la pieza para poder poner el producto blanqueador en la cara palatina y vestibular de la pieza y entrega de kit ambulatorio, fotos de seguimiento.
Para el aislamiento uso: dique de goma, arco young, clamp, porta clamp, algodones, gasas, gel para barrera gingival, lámpara para fotopolimerizar la barrera protectora.
- 4º cita.- Revisión, para ver progresión del tratamiento, realización de fotos, se decide si se amplía tiempo de tratamiento.
- Aislamiento en clínica de pieza dental:

- Casos clínicos:
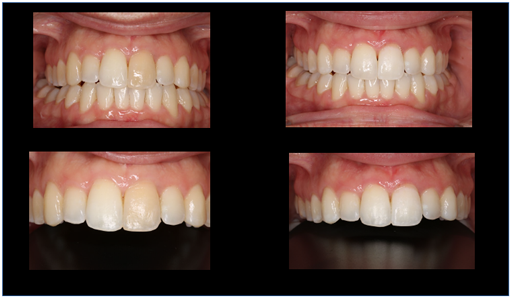
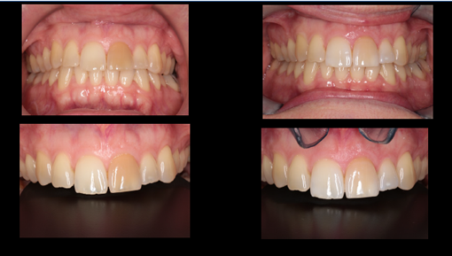
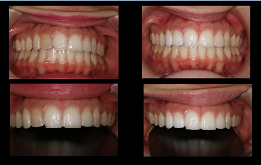
- HOMBRE 37 AÑOS: Duración del tratamiento 6 semanas/Revisión 6 meses sigue estable

- MUJER 27 AÑOS: Duración del tratamiento 5 semanas/Revisión 6 meses sigue estable

- MUJER 44 AÑOS: Duración del tratamiento 8 semanas/Revisión 6 meses color estable.

- MUJER 26 AÑOS: Duración del tratamiento 5 semanas/Revisión 6 meses color estable

DISCUSIÓN
Respecto al tratamiento para aclarar el color de dientes calcificados la bibliografía recoge soluciones en su mayoría que pasan por hacer blanqueamiento interno con el previo tratamiento de conductos para evitar que el producto puede llegar a la raíz produciendo una reabsorción.
En el artículo “A propósito de un caso de un diente con el conducto calcificado. Blanqueamiento interno” de la Dra. Silvia Barragán Arévalo, Médico Estomatólogo , expone el caso de ¨paciente de 38 años con con pieza 21 endodonciado que mantiene color bastante establecido aunque es susceptible de blanqueamiento interno y pieza 22 que está vital pero está su conducto calcificado, presentando color más oscurecido. Refiere traumatismo años atrás. El paciente no quería colocarse coronas en ambos dientes y se le ofrece la posibilidad de tratar la pieza 22 para homogeneizar la sonrisa con tratamiento de blanqueamiento interno¨.(15)
Explicada la situación al paciente, se le propuso la solución menos agresiva: ¨Perforar la cámara del incisivo lateral y eliminar dentina hasta que fuera posible introducir una bolita de algodón impregnada en XTRA Opalescence (Peróxido de hidrogeno al 35%) (Dentalite®). Tras varias semanas de aplicación de producto y recambio de éste se consigue aclarar pieza 22¨.(15).
Otros autores como José M.ª de Rábago Vega (Postgrado en Prótesis y Oclusión por el Instituto Pankey, Miami, USA.
Práctica privada en prótesis e implantes en Madrid.),
o Ana Isabel Tello-Rodríguez (Licenciada en Odontología por la UCM).
Exponen que: ¨algunos traumatismos pueden producir una hemorragia interna, provocando a lo largo del tiempo una tinción dentaria importante. Clínicamente son dientes vitales y radiográficamente no presentan ninguna patología periapical, con lo cual está totalmente contraindicado un tratamiento endodóncico inmediato. En estos casos el blanqueamiento interno es imposible, siendo necesario colocar carillas de cerámica, composites o coronas de recubrimiento total¨. (16)
Yo considero que se puede probar, en este tipo de dientes vitales con conducto calcificado, si tras todas las pruebas realizadas por doctores indican que la pieza está en salud, tratamientos iniciales más conservadores como blanqueamiento externo combinado, (tratamiento ambulatorio y sesión en clínica con lámpara) y si no consigue las expectativas del paciente para conseguir aclarar el color, pasar a tratamientos anteriormente expuestos por los distintos autores.
CONCLUSIONES
Teniendo en cuenta la alta incidencia de traumatismos dentales, los conocimientos de dentistas e higienistas sobre el tratamiento de blanqueamiento y de las posibilidades de los dientes descoloridos, es esencial.
El aclaramiento de los dientes calcificados debe realizarse siempre que sea posible, es una forma simple y conservadora.
El blanqueamiento combinado parte ambulatoria on peróxido de carbamida 16% y parte clínica con peróxido de hidrógeno 37% en dientes calcificados proporcionó excelentes resultados con la satisfacción final de los pacientes.
PALABRAS CLAVE
Diente calcificado, traumatismos, blanqueamiento interno, blanqueamiento externo.
BILBIOGRAFÍA
(1) https://dentpro.es/catalog/blog/blanqueamiento-dental-guia-definitiva/
(2) http://www.redoe.com/ver.php?id=51
(2-1). Joiner A. Tooth colour: a review of the literature. J Dent. 2004; 32 (suppl): 3-12
(3)http://www.medeco.de/es/odontoestomatologia/anatomia/dientes/estructura-del-diente/
(4)https://www.researchgate.net/publication/290602496_Efectos_del_blanqueamiento_sobre_la_morfologia_composicion_quimica_y_estructura_del_diente
(4-1)Lozada O, García C, Alfonso I. Rie sgos y be nef i ci os de l bl anq ueo den-tal. Acta Odontológica Venezolana 2000; 2
(4-2)Feinman RA, Mandray G, Yarborough D. Chemical, optical, and phy-siologic mechanisms of bleaching products: A review. The Bleaching Report 1991
(5)https://www.researchgate.net/figure/291334794_fig1_Figura-2-La-disociacion-del-peroxido-de-carbamida-proporciona-un-36-de-peroxido-de
(5-1) Shi XC, Ma H, Zhou JL, Li W. The effect of cold-light activated bleaching treatment on enamel surfaces in vitro. Int J Oral Sci 2012; 4: 208-213
(6)http://www.dentaltribune.com/articles/news/latinamerica/12436_efectos_colaterales_del_aclaramiento_dental_activado_por_luz_y_calor.html
(7) http://www.infomed.es/auvbd/pdf/Articulo%20Lalu-05.pdf
(8) https://www.clinicadam.com/imagenes-de-salud/1121.html
(9)http://scielo.isciii.es/scielo.php?script=sci_arttext&pid=S1138-123X2003000200002
(9-1) García Ballesta C, Pérez Lajarín L. El problema: clasificación, etiología y patogenia. En: García Ballesta C, Mendoza Mendoza, A. Traumatología Dental. Madrid:Ergon,2003. (en prensa). [ Links ]
(Es un libro de texto enfocado al estudiante de postgrado y al clínico interesado, en donde se analizan con profundidad y con una revisión bibliográfica extensa, el problema de la prevalencia y etiología de los traumatismos dentales.)
(10 )Av Odontoestomatol vol.19 no.2 Madrid mar./abr..2003 se puede encontrar en http://scielo.isciii.es/scielo.php?script=sci_arttext&pid=S0213-12852003000200005
(10*1)Int. J. Odontostomat. Vol.6 no.2 Temuco ago. 2012 http://dx.doi.org/10.4067/S0718-381X2012000200007
Int. J. Odontostomat., 6(2):157-161, 2012. se puede encontrar en http://www.scielo.cl/scielo.php?script=sci_arttext&pid=S0718-381X2012000200007
(11)Nota informativa N°318Abril de 2012 se puede encontrar en http://www.who.int/mediacentre/factsheets/fs318/es/ (OMS)
(12) http://endodoncialdia.blogspot.com.es/2012/03/conductos-calcificados.html
(13)https://mundoendo.wordpress.com/2016/04/26/calcificaciones-del-conducto-radicular/
(14)http://www.postgradosodontologia.cl/endodoncia/images/EspecialidadEndodoncia/Seminarios/2013-2014/DocTratamientoDeDientesCalcificadosFinal.pdf
(14-1)NGEOW & Y. L. THONG (1998): Gaining access through a calcified pulp chamber: a clinical challenge. Int. Endod J. (1998) 31, 367-371
(14-2)Hulsmann, Heckendorff, Lenon (2003): Chelating agents in root canal treatment: Mode of action and indication for their use. Int. Endod J.(2003), 36: 810-830
(14-3) Cleen, M (2002): Obliteration of pulp canal space after concussion and subiuxation: Endodontic considerations, Obliteration of pulp canai space after concussion and subiuxation: Endodontic considerations Voijme33, Number 9,661- 669
(14-4) Evans, M (2004): Combined Endodontic And Surgical Treatment Of A Threerooted Maxillary First Premolar, AUSTRALIAN ENDODONTIC IOURNAL VOLUME 30 No 2 53-55
(14-5) Dabuleanu M. (2010): Managing calcified canal systems: audiovisual presentation. J Can Dent Assoc. 2010;76:a128.
(14-6) Stewart, G (1995): Gaining access to calcified canals. Oral surg, oral med, oral pathol. 1995 79, 764-768
(14-7) http://www.dentistrytoday.com/endodontics/1020-sleuthing-out-hard-to-find-canals
(15) http://www.coem.org.es/sites/default/files/revista/cientifica/vol6-n1/69-71.pdf
Barragán, S.. A propósito de un caso de un diente con el conducto calcificado. Blanqueamiento interno. Cient Dent 2009;6;1:69-71.
1. Garretson JE. A system of oral surgery. 6th edn. Philadelphia:J.B Lippincott Co. 1895
2. Pearson HH.Bleaching of de discolared pulpless tooth. J An Dent ASSOC. 1958, 56:64-8
3. Odontología estética. Ronald E. Goldstein. Vol I.Ars Médica, página 36 a la 4
(16)RCOEvol.10 no.3may./jun.2005 se puede encontrar en http://scielo.isciii.es/scielo.php?script=sci_arttext&pid=S1138-123X2005000300003
(17) Single-tooth home bleaching Gerald E. Denehy*/Edward J. Swift. Jr** se pueden encontrar en https://www.ncbi.nlm.nih.gov/pubmed/
(18)Operative Dentistry, 2014, 39-6, 572-577, Bleaching Options for Pulp-Calcified Teeth: Case HistoryReports se puede encontrar en http://www.jopdentonline.org/doi/pdf/10.2341/13-349-T?code=opdt-site
(19)Por Dr. Miguel Castro-29 Oct, 2013 Blanqueamiento vital nocturno con férulas. Un hallazgo casual se puede encontrar en
https://www.gacetadental.com/2013/10/blanqueamiento-vital-nocturno-con-ferulas-un-hallazgo-casual-45714/
(20)nt.J.Odontostomat.vol.6no.2Temucoago.2012 http://dx.doi.org/10.4067/S0718-381X2012000200007 Int. J. Odontostomat., 6(2):157-161,2012.se puede encontrar en http://www.scielo.cl/scielo.php?script=sci_arttext&pid=S0718-381X2012000200007
(21) http://www.postgradosodontologia.cl/endodoncia/images/EspecialidadEndodoncia/Seminarios/2014-2014/DocTratamientoDeDientesCalcificadosFinal.pdf
(22) Dr. Gabriel Ortiz Calcificaciones del conducto radicular, se puede encontrar en https://mundoendo.wordpress.com/2016/04/26/calcificaciones-del-conducto-radicular/
 |
| |
|
|
|